Antibody data
- Antibody Data
- Antigen structure
- References [1]
- Comments [0]
- Validations
- Western blot [2]
- ELISA [1]
- Immunocytochemistry [1]
- Immunohistochemistry [2]
Submit
Validation data
Reference
Comment
Report error
- Product number
- H00005245-M01 - Provider product page

- Provider
- Novus Biologicals
- Proper citation
- Novus Cat#H00005245-M01, RRID:AB_547331
- Product name
- Mouse Monoclonal Prohibitin Antibody
- Antibody type
- Monoclonal
- Description
- IgG purified. PHB - prohibitin
- Reactivity
- Human, Mouse, Rat
- Host
- Mouse
- Isotype
- IgG
- Vial size
- 0.1 mg
- Storage
- Aliquot and store at -20C or -80C. Avoid freeze-thaw cycles.
Submitted references Gonad differential proteins revealed with proteomics in oyster (Saccostrea cucullata) using alga as food contaminated with cadmium.
Zhu B, Gao KS, Wang KJ, Ke CH, Huang HQ
Chemosphere 2012 Apr;87(4):397-403
Chemosphere 2012 Apr;87(4):397-403
No comments: Submit comment
Supportive validation
- Submitted by
- Novus Biologicals (provider)
- Main image

- Experimental details
- Western Blot: Prohibitin Antibody (3F4-2B2) [H00005245-M01] - PHB monoclonal antibody (M01), clone 3F4-2B2. Analysis of PHB expression in PC-12.
- Submitted by
- Novus Biologicals (provider)
- Main image

- Experimental details
- Western Blot: Prohibitin Antibody (3F4-2B2) [H00005245-M01] - PHB monoclonal antibody (M01), clone 3F4-2B2 Analysis of PHB expression in Hela.
Supportive validation
- Submitted by
- Novus Biologicals (provider)
- Main image

- Experimental details
- Sandwich ELISA: Prohibitin Antibody (3F4-2B2) [H00005245-M01] - Detection limit for recombinant GST tagged PHB is approximately 0.03ng/ml as a capture antibody.
Supportive validation
- Submitted by
- Novus Biologicals (provider)
- Main image

- Experimental details
- Immunocytochemistry/Immunofluorescence: Prohibitin Antibody (3F4-2B2) [H00005245-M01] - Analysis of monoclonal antibody to PHB on HeLa cell. Antibody concentration 1 ~ 10 ug/ml.
Supportive validation
- Submitted by
- Novus Biologicals (provider)
- Main image

- Experimental details
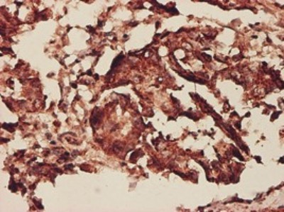
- Immunohistochemistry-Paraffin: Prohibitin Antibody (3F4-2B2) [H00005245-M01] - Analysis of monoclonal antibody to PHB on formalin-fixed paraffin-embedded human colon adenocarcinoma. Antibody concentration 5 ug/ml.
- Submitted by
- Novus Biologicals (provider)
- Main image

- Experimental details
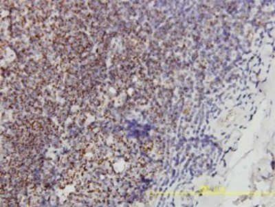
- Immunohistochemistry-Paraffin: Prohibitin Antibody (3F4-2B2) [H00005245-M01] - Analysis of monoclonal antibody to PHB on formalin-fixed paraffin-embedded human tonsil tissue.Antibody concentration 5 ug/ml.