Antibody data
- Antibody Data
- Antigen structure
- References [1]
- Comments [0]
- Validations
- Western blot [3]
- Immunoprecipitation [1]
- Immunohistochemistry [1]
Submit
Validation data
Reference
Comment
Report error
- Product number
- NBP2-43834 - Provider product page

- Provider
- Novus Biologicals
- Product name
- Mouse Monoclonal Lamin B2 Antibody
- Antibody type
- Monoclonal
- Description
- Protein G purified.
- Reactivity
- Human
- Host
- Mouse
- Isotype
- IgG
- Vial size
- 0.1 ml
- Storage
- Aliquot and store at -20C or -80C. Avoid freeze-thaw cycles.
Submitted references Activation and Expression of Peroxisome Proliferator-Activated Receptor Alpha Are Associated with Tumorigenesis in Colorectal Carcinoma.
Morinishi T, Tokuhara Y, Ohsaki H, Ibuki E, Kadota K, Hirakawa E
PPAR research 2019;2019:7486727
PPAR research 2019;2019:7486727
No comments: Submit comment
Supportive validation
- Submitted by
- Novus Biologicals (provider)
- Main image

- Experimental details
- Western Blot: Lamin B2 Antibody (144) [NBP2-43834] - Analysis of A. 30 ug U87-MG whole cell lysate/extract B. 30 ug SK-N-SH whole cell lysate/extract C. 30 ug IMR32 whole cell lysate/extract D. 30 ug SK-N-AS whole cell lysate/extract 7.5 % SDS-PAGE Lamin B2 antibody [144] dilution: 1:1000
- Submitted by
- Novus Biologicals (provider)
- Main image

- Experimental details
- Western Blot: Lamin B2 Antibody (144) [NBP2-43834] - Analysis of A. 30 ug HepG2 whole cell lysate/extract B. 30 ug HepG2 cytosol lysate/extract C. 30 ug HepG2 nuclear lysate/extract 7.5 % SDS-PAGE Lamin B2 antibody [144] dilution: 1:1000.
- Submitted by
- Novus Biologicals (provider)
- Main image

- Experimental details
- Western Blot: Lamin B2 Antibody (144) [NBP2-43834] - Non-transfected (-) and transfected (+) HepG2 whole cell extracts (30 ug) were separated by 7.5% SDS-PAGE, and the membrane was blotted with Lamin B2 antibody [144]. The HRP-conjugated anti-mouse IgG antibody (NBP2-19382) was used to detect the primary antibody.
Supportive validation
- Submitted by
- Novus Biologicals (provider)
- Main image

- Experimental details
- Immunoprecipitation: Lamin B2 Antibody (144) [NBP2-43834] - Analysis of HepG2 whole cell lysate/extract A : 30 ug whole cell lysate/extract of Lamin B2 protein expressing HepG2 cells B : Control with 3 ug of pre-immune mouse IgG C : Immunoprecipitation of Lamin B2 by 3 ug of Lamin B2 antibody [144] 7.5% SDS-PAGE The immunoprecipitated Lamin B2 protein was detected by Lamin B2 antibody [144] diluted at 1 : 1000. EasyBlot anti-rabbit IgG (HRP) was used as a secondary reagent.
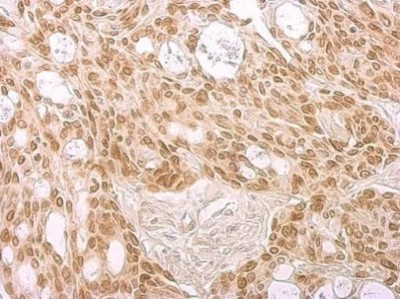
Supportive validation
- Submitted by
- Novus Biologicals (provider)
- Main image

- Experimental details
- Immunohistochemistry-Paraffin: Lamin B2 Antibody (144) [NBP2-43834] - Analysis of Cal27 xenograft. Lamin B2 antibody [144] dilution: 1:200.