Antibody data
- Antibody Data
- Antigen structure
- References [2]
- Comments [0]
- Validations
- Western blot [2]
- Immunohistochemistry [5]
Submit
Validation data
Reference
Comment
Report error
- Product number
- NBP1-87833 - Provider product page

- Provider
- Novus Biologicals
- Proper citation
- Novus Cat#NBP1-87833, RRID:AB_11033572
- Product name
- Rabbit Polyclonal MST3 Antibody
- Antibody type
- Polyclonal
- Description
- Immunogen affinity purified. Specificity of human MST3 antibody verified on a Protein Array containing target protein plus 383 other non-specific proteins.
- Reactivity
- Human, Mouse, Rat
- Host
- Rabbit
- Isotype
- IgG
- Vial size
- 0.1 ml
- Storage
- Store at 4C short term. Aliquot and store at -20C long term. Avoid freeze-thaw cycles.
Submitted references Maternal melatonin or N-acetylcysteine therapy regulates hydrogen sulfide-generating pathway and renal transcriptome to prevent prenatal NG-Nitro-L-arginine-methyl ester (L-NAME)-induced fetal programming of hypertension in adult male offspring.
Nitrite Therapy Ameliorates Myocardial Dysfunction via H2S and Nuclear Factor-Erythroid 2-Related Factor 2 (Nrf2)-Dependent Signaling in Chronic Heart Failure.
Tain YL, Lee CT, Chan JY, Hsu CN
American journal of obstetrics and gynecology 2016 Nov;215(5):636.e1-636.e72
American journal of obstetrics and gynecology 2016 Nov;215(5):636.e1-636.e72
Nitrite Therapy Ameliorates Myocardial Dysfunction via H2S and Nuclear Factor-Erythroid 2-Related Factor 2 (Nrf2)-Dependent Signaling in Chronic Heart Failure.
Donnarumma E, Bhushan S, Bradley JM, Otsuka H, Donnelly EL, Lefer DJ, Islam KN
Journal of the American Heart Association 2016 Jul 29;5(8)
Journal of the American Heart Association 2016 Jul 29;5(8)
No comments: Submit comment
Supportive validation
- Submitted by
- Novus Biologicals (provider)
- Main image

- Experimental details
- Western Blot: MST3 Antibody [NBP1-87833] - Lane 1: NIH-3T3 cell lysate (Mouse embryonic fibroblast cells). Lane 2: NBT-II cell lysate (Rat Wistar bladder tumor cells).
- Submitted by
- Novus Biologicals (provider)
- Main image

- Experimental details
- Western Blot: MST3 Antibody [NBP1-87833] - Analysis using Anti-STK24 antibody NBP1-87833 (A) shows similar pattern to independent antibody NBP1-87834 (B).
Supportive validation
- Submitted by
- Novus Biologicals (provider)
- Main image

- Experimental details
- Immunohistochemistry-Paraffin: MST3 Antibody [NBP1-87833] - Staining of human testis using Anti-STK24 antibody.
- Submitted by
- Novus Biologicals (provider)
- Main image

- Experimental details
- Immunohistochemistry-Paraffin: MST3 Antibody [NBP1-87833] - Staining of human colon using Anti-STK24 antibody.
- Submitted by
- Novus Biologicals (provider)
- Main image

- Experimental details
- Immunohistochemistry-Paraffin: MST3 Antibody [NBP1-87833] - Staining of human cerebral cortex using Anti-STK24 antibody.
- Submitted by
- Novus Biologicals (provider)
- Main image

- Experimental details
- Immunohistochemistry-Paraffin: MST3 Antibody [NBP1-87833] - Staining of human liver using Anti-STK24 antibody.
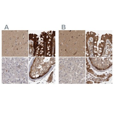
- Submitted by
- Novus Biologicals (provider)
- Main image

- Experimental details
- Immunohistochemistry-Paraffin: MST3 Antibody [NBP1-87833] - Staining of human cerebral cortex, colon, liver and testis using Anti-STK24 antibody NBP1-87833 (A) shows similar protein distribution across tissues to independent antibody NBP1-87834 (B).