Antibody data
- Antibody Data
- Antigen structure
- References [1]
- Comments [0]
- Validations
- Western blot [1]
- Immunohistochemistry [1]
Submit
Validation data
Reference
Comment
Report error
- Product number
- NBP1-86151 - Provider product page

- Provider
- Novus Biologicals
- Proper citation
- Novus Cat#NBP1-86151, RRID:AB_11010252
- Product name
- Rabbit Polyclonal PBX1 Antibody
- Antibody type
- Polyclonal
- Description
- Immunogen affinity purified. Specificity of human PBX1 antibody verified on a Protein Array containing target protein plus 383 other non-specific proteins.
- Reactivity
- Human
- Host
- Rabbit
- Isotype
- IgG
- Vial size
- 0.1 ml
- Storage
- Store at 4C short term. Aliquot and store at -20C long term. Avoid freeze-thaw cycles.
Submitted references Copy number aberrations of genes regulating normal thymus development in thymic epithelial tumors.
Petrini I, Wang Y, Zucali PA, Lee HS, Pham T, Voeller D, Meltzer PS, Giaccone G
Clinical cancer research : an official journal of the American Association for Cancer Research 2013 Apr 15;19(8):1960-71
Clinical cancer research : an official journal of the American Association for Cancer Research 2013 Apr 15;19(8):1960-71
No comments: Submit comment
Supportive validation
- Submitted by
- Novus Biologicals (provider)
- Main image

- Experimental details
- Western Blot: PBX1 Antibody [NBP1-86151] - Lane 1: Marker [kDa] 250, 130, 95, 72, 55, 36, 28, 17, 10. Lane 2: Negative control (vector only transfected HEK293T lysate). Lane 3: Over-expression lysate (Co-expressed with a C-terminal myc-DDK tag (3.1 kDa) in mammalian HEK293T cells).
Supportive validation
- Submitted by
- Novus Biologicals (provider)
- Main image

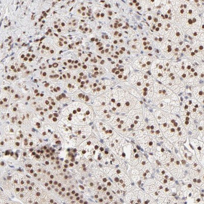
- Experimental details
- Immunohistochemistry-Paraffin: PBX1 Antibody [NBP1-86151] - Staining of human adrenal gland shows strong nuclear positivity in cortical cells.