Antibody data
- Antibody Data
- Antigen structure
- References [0]
- Comments [0]
- Validations
- Western blot [1]
- Immunohistochemistry [3]
Submit
Validation data
Reference
Comment
Report error
- Product number
- NBP1-19111 - Provider product page

- Provider
- Novus Biologicals
- Proper citation
- Novus Cat#NBP1-19111, RRID:AB_1642937
- Product name
- Rabbit Polyclonal RALY Antibody
- Antibody type
- Polyclonal
- Description
- Immunogen affinity purified.
- Reactivity
- Human, Mouse
- Host
- Rabbit
- Isotype
- IgG
- Vial size
- 0.1 ml
- Concentration
- 0.2 mg/ml
- Storage
- Store at 4C. Do not freeze.
No comments: Submit comment
Supportive validation
- Submitted by
- Novus Biologicals (provider)
- Main image

- Experimental details
- Western Blot: RALY Antibody [NBP1-19111] - Whole cell lysate from HeLa and 293T cells. RALY was successfully immunoprecipitated by rabbit anti-RALY antibody NBP1-19110.
Supportive validation
- Submitted by
- Novus Biologicals (provider)
- Main image

- Experimental details
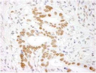
- Immunohistochemistry-Paraffin: RALY Antibody [NBP1-19111] - FFPE section of mouse renal cell carcinoma. Affinity purified rabbit anti-RALY used at a dilution of 1:100.
- Submitted by
- Novus Biologicals (provider)
- Main image

- Experimental details
- Immunohistochemistry-Paraffin: RALY Antibody [NBP1-19111] - FFPE section of human stomach carcinoma. Affinity purified rabbit anti-RALY used at a dilution of 1:500.
- Submitted by
- Novus Biologicals (provider)
- Main image

- Experimental details
- Immunohistochemistry: RALY Antibody [NBP1-19111] - Sample: FFPE section of human breast carcinoma (left) and mouse teratoma (right). Antibody: Affinity purified rabbit anti- RALY used at a dilution of 1:1,000 (0.2 ug/ml) and 1:200 (1ug/ml). Detection: DAB