Antibody data
- Antibody Data
- Antigen structure
- References [0]
- Comments [0]
- Validations
- Immunohistochemistry [1]
- Other assay [1]
Submit
Validation data
Reference
Comment
Report error
- Product number
- A301-527A - Provider product page

- Provider
- Invitrogen Antibodies
- Product name
- ZFP106 Polyclonal Antibody
- Antibody type
- Polyclonal
- Antigen
- Other
- Reactivity
- Human
- Host
- Rabbit
- Isotype
- IgG
- Vial size
- 100 µL
- Concentration
- 1 mg/mL
- Storage
- 4° C
No comments: Submit comment
Supportive validation
- Submitted by
- Invitrogen Antibodies (provider)
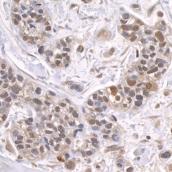
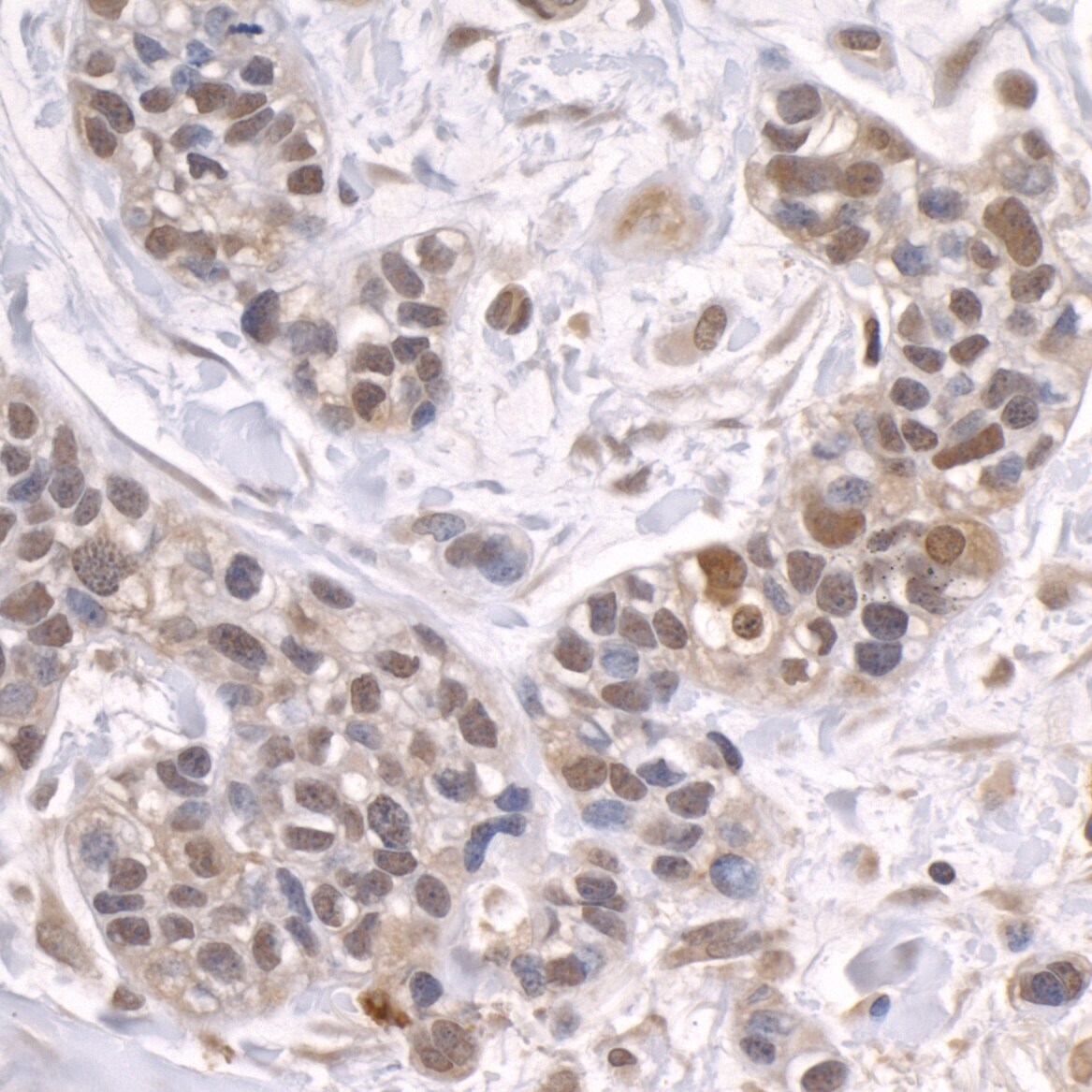
- Main image

- Experimental details
- Detection of human ZFP106 by immunohistochemistry. Sample: FFPE section of human breast carcinoma. Antibody: Affinity purified rabbit anti- ZFP106 (Cat. No. A301-527A Lot2) used at a dilution of 1:1,000 (1µg/ml). Detection: DAB.
Supportive validation
- Submitted by
- Invitrogen Antibodies (provider)
- Main image

- Experimental details
- Detection of human ZFP106 by western blot of immunoprecipitates. Samples: Nuclear Extract (0.5 or 1.0 mg per IP reaction; 20% of IP loaded) from 293T cells. Antibodies: Affinity purified rabbit anti-ZFP106 antibody A301-527A (lot A301-527A-2) used for IP at 6 µg per reaction. ZFP106 was also immunoprecipitated by rabbit anti-ZFP106 antibody A301-526A. For blotting immunoprecipitated ZFP106, A301-527A was used at 1 µg/ml. Detection: Chemiluminescence with an exposure time of 75 seconds.