Antibody data
- Antibody Data
- Antigen structure
- References [0]
- Comments [0]
- Validations
- Western blot [2]
- Immunoprecipitation [1]
Submit
Validation data
Reference
Comment
Report error
- Product number
- NB100-74653 - Provider product page

- Provider
- Novus Biologicals
- Proper citation
- Novus Cat#NB100-74653, RRID:AB_1050099
- Product name
- Rabbit Polyclonal ZFP106 Antibody
- Antibody type
- Polyclonal
- Description
- Immunogen affinity purified.
- Reactivity
- Human, Mouse
- Host
- Rabbit
- Isotype
- IgG
- Vial size
- 0.1 ml
- Concentration
- 0.2 mg/ml
- Storage
- Store at 4C. Do not freeze.
No comments: Submit comment
Supportive validation
- Submitted by
- Novus Biologicals (provider)
- Main image

- Experimental details
- Western Blot: ZFP106 Antibody [NB100-74653] - Detection of Human and Mouse ZFP106 by Western Blot. Samples: Nuclear extract (50 ug) from HeLa and 293T cells, and whole cell lysate (50 ug) from Jurkat, Ramos, and Mouse CT26.WT cells. Antibody: Affinity purified rabbit anti-ZFP106 antibody NB100-74653 used for WB at 0.1 ug/ml. Detection: Chemiluminescence with an exposure time of 75 seconds.
- Submitted by
- Novus Biologicals (provider)
- Main image

- Experimental details
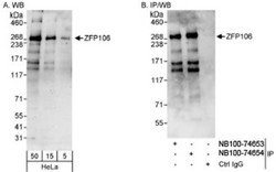
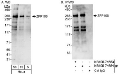
- Western Blot: ZFP106 Antibody [NB100-74653] - Detection of Human ZFP106 on HeLa whole cell lysate using NB100-74653. ZFP106 was also immunoprecipitated by rabbit anti-ZFP106 antibody NB100-74654.
Supportive validation
- Submitted by
- Novus Biologicals (provider)
- Main image

- Experimental details
- Immunoprecipitation: ZFP106 Antibody [NB100-74653] - Detection of human ZFP106 by western blot of immunoprecipitates. Samples: Nuclear Extract (0.5 or 1.0 mg per IP reaction; 20% of IP loaded) from HEK293T cells. Antibodies: Affinity purified rabbit anti-ZFP106 antibody NB100-74653 used for IP at 6 ug per reaction. ZFP106 was also immunoprecipitated by rabbit anti-ZFP106 antibody NB100-74654. For blotting immunoprecipitated ZFP106, NB100-74653 was used at 1 ug/ml. Detection: Chemiluminescence with an exposure time of 75 seconds.