Antibody data
- Antibody Data
- Antigen structure
- References [0]
- Comments [0]
- Validations
- Western blot [1]
- Immunoprecipitation [1]
- Immunohistochemistry [3]
Submit
Validation data
Reference
Comment
Report error
- Product number
- NB100-74654 - Provider product page

- Provider
- Novus Biologicals
- Proper citation
- Novus Cat#NB100-74654, RRID:AB_1050100
- Product name
- Rabbit Polyclonal ZFP106 Antibody
- Antibody type
- Polyclonal
- Description
- Immunogen affinity purified.
- Reactivity
- Human
- Host
- Rabbit
- Isotype
- IgG
- Vial size
- 0.1 ml
- Concentration
- 0.2 mg/ml
- Storage
- Store at 4C. Do not freeze.
No comments: Submit comment
Supportive validation
- Submitted by
- Novus Biologicals (provider)
- Main image

- Experimental details
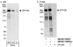
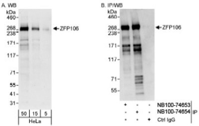
- Western Blot: ZFP106 Antibody [NB100-74654] - Detection of Human ZFP106 on HeLa whole cell lysate using NB100-74654. ZFP106 was also immunoprecipitated by rabbit anti-ZFP106 antibody NB100-74653.
Supportive validation
- Submitted by
- Novus Biologicals (provider)
- Main image

- Experimental details
- Immunoprecipitation: ZFP106 Antibody [NB100-74654] - Nuclear Extract (0.5 or 1.0 mg per IP reaction; 20% of IP loaded) from HEK293T cells. Antibodies: Affinity purified rabbit anti-ZFP106 antibody NB100-74654 (lot 2) used for IP at 6 ug per reaction. ZFP106 was also immunoprecipitated by rabbit anti-ZFP106 antibody NB100-74653. For blotting immunoprecipitated ZFP106, NB100-74654 was used at 1 ug/ml. Detection: Chemiluminescence with an exposure time of 75 seconds.
Supportive validation
- Submitted by
- Novus Biologicals (provider)
- Main image

- Experimental details
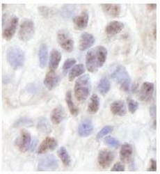
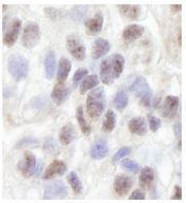
- Immunohistochemistry-Paraffin: ZFP106 Antibody [NB100-74654] - Detection of Human ZFP106 by Immunohistochemistry. Sample: FFPE section of human breast carcinoma. Antibody: Affinity purified rabbit anti-ZFP106 used at a dilution of 1:250.
- Submitted by
- Novus Biologicals (provider)
- Main image

- Experimental details
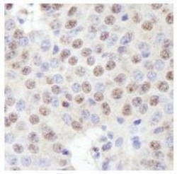
- Immunohistochemistry-Paraffin: ZFP106 Antibody [NB100-74654] - Detection of Human ZFP106. Sample: FFPE section of human pancreatic islet cell tumor. Antibody: Affinity purified rabbit anti-ZFP106 used at a dilution of 1:250.
- Submitted by
- Novus Biologicals (provider)
- Main image

- Experimental details
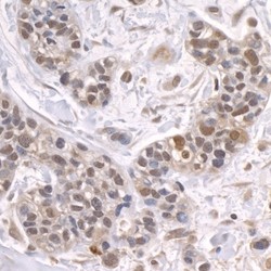
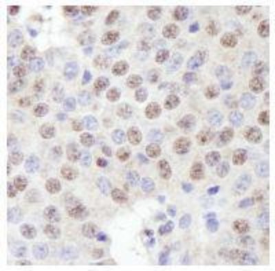
- Immunohistochemistry-Paraffin: ZFP106 Antibody [NB100-74654] - Section of human breast carcinoma. Antibody: Affinity purified rabbit anti- ZFP106 used at a dilution of 1:1,000 (1ug/ml). Detection: DAB