NB600-250
antibody from Novus Biologicals
Targeting: ASH2L
ASH2, ASH2L1, ASH2L2, Bre2
Antibody data
- Antibody Data
- Antigen structure
- References [12]
- Comments [0]
- Validations
- Western blot [4]
- Immunohistochemistry [2]
- Chromatin Immunoprecipitation [1]
Submit
Validation data
Reference
Comment
Report error
- Product number
- NB600-250 - Provider product page

- Provider
- Novus Biologicals
- Proper citation
- Novus Cat#NB600-250, RRID:AB_2243013
- Product name
- Rabbit Polyclonal ASH2L Antibody
- Antibody type
- Polyclonal
- Description
- Immunogen affinity purified.
- Reactivity
- Human
- Host
- Rabbit
- Isotype
- IgG
- Vial size
- 100 ul
- Concentration
- 1.0 mg/ml
- Storage
- Store at 4C. Do not freeze.
Submitted references Multiple histone methyl and acetyltransferase complex components bind the HLA-DRA gene.
Structural basis for WDR5 interaction (Win) motif recognition in human SET1 family histone methyltransferases.
RARγ is required for correct deposition and removal of Suz12 and H2A.Z in embryonic stem cells.
Role of PTIP in class switch recombination and long-range chromatin interactions at the immunoglobulin heavy chain locus.
The Trithorax group protein Ash2l and Saf-A are recruited to the inactive X chromosome at the onset of stable X inactivation.
CXXC finger protein 1 contains redundant functional domains that support embryonic stem cell cytosine methylation, histone methylation, and differentiation.
BAT3 and SET1A form a complex with CTCFL/BORIS to modulate H3K4 histone dimethylation and gene expression.
Targeted inactivation of MLL3 histone H3-Lys-4 methyltransferase activity in the mouse reveals vital roles for MLL3 in adipogenesis.
Functional genomics identifies TOR-regulated genes that control growth and division.
Identification of the MLL2 complex as a coactivator for estrogen receptor alpha.
The parafibromin tumor suppressor protein is part of a human Paf1 complex.
CpG-binding protein (CXXC finger protein 1) is a component of the mammalian Set1 histone H3-Lys4 methyltransferase complex, the analogue of the yeast Set1/COMPASS complex.
Choi NM, Boss JM
PloS one 2012;7(5):e37554
PloS one 2012;7(5):e37554
Structural basis for WDR5 interaction (Win) motif recognition in human SET1 family histone methyltransferases.
Dharmarajan V, Lee JH, Patel A, Skalnik DG, Cosgrove MS
The Journal of biological chemistry 2012 Aug 10;287(33):27275-89
The Journal of biological chemistry 2012 Aug 10;287(33):27275-89
RARγ is required for correct deposition and removal of Suz12 and H2A.Z in embryonic stem cells.
Amat R, Gudas LJ
Journal of cellular physiology 2011 Feb;226(2):293-8
Journal of cellular physiology 2011 Feb;226(2):293-8
Role of PTIP in class switch recombination and long-range chromatin interactions at the immunoglobulin heavy chain locus.
Schwab KR, Patel SR, Dressler GR
Molecular and cellular biology 2011 Apr;31(7):1503-11
Molecular and cellular biology 2011 Apr;31(7):1503-11
The Trithorax group protein Ash2l and Saf-A are recruited to the inactive X chromosome at the onset of stable X inactivation.
Pullirsch D, Härtel R, Kishimoto H, Leeb M, Steiner G, Wutz A
Development (Cambridge, England) 2010 Mar;137(6):935-43
Development (Cambridge, England) 2010 Mar;137(6):935-43
CXXC finger protein 1 contains redundant functional domains that support embryonic stem cell cytosine methylation, histone methylation, and differentiation.
Tate CM, Lee JH, Skalnik DG
Molecular and cellular biology 2009 Jul;29(14):3817-31
Molecular and cellular biology 2009 Jul;29(14):3817-31
BAT3 and SET1A form a complex with CTCFL/BORIS to modulate H3K4 histone dimethylation and gene expression.
Nguyen P, Bar-Sela G, Sun L, Bisht KS, Cui H, Kohn E, Feinberg AP, Gius D
Molecular and cellular biology 2008 Nov;28(21):6720-9
Molecular and cellular biology 2008 Nov;28(21):6720-9
Targeted inactivation of MLL3 histone H3-Lys-4 methyltransferase activity in the mouse reveals vital roles for MLL3 in adipogenesis.
Lee J, Saha PK, Yang QH, Lee S, Park JY, Suh Y, Lee SK, Chan L, Roeder RG, Lee JW
Proceedings of the National Academy of Sciences of the United States of America 2008 Dec 9;105(49):19229-34
Proceedings of the National Academy of Sciences of the United States of America 2008 Dec 9;105(49):19229-34
Functional genomics identifies TOR-regulated genes that control growth and division.
Guertin DA, Guntur KV, Bell GW, Thoreen CC, Sabatini DM
Current biology : CB 2006 May 23;16(10):958-70
Current biology : CB 2006 May 23;16(10):958-70
Identification of the MLL2 complex as a coactivator for estrogen receptor alpha.
Mo R, Rao SM, Zhu YJ
The Journal of biological chemistry 2006 Jun 9;281(23):15714-20
The Journal of biological chemistry 2006 Jun 9;281(23):15714-20
The parafibromin tumor suppressor protein is part of a human Paf1 complex.
Rozenblatt-Rosen O, Hughes CM, Nannepaga SJ, Shanmugam KS, Copeland TD, Guszczynski T, Resau JH, Meyerson M
Molecular and cellular biology 2005 Jan;25(2):612-20
Molecular and cellular biology 2005 Jan;25(2):612-20
CpG-binding protein (CXXC finger protein 1) is a component of the mammalian Set1 histone H3-Lys4 methyltransferase complex, the analogue of the yeast Set1/COMPASS complex.
Lee JH, Skalnik DG
The Journal of biological chemistry 2005 Dec 16;280(50):41725-31
The Journal of biological chemistry 2005 Dec 16;280(50):41725-31
No comments: Submit comment
Supportive validation
- Submitted by
- Novus Biologicals (provider)
- Main image

- Experimental details
- Western Blot: ASH2L Antibody [NB600-250] - Samples: Whole cell lysate (0.5 or 1.0 mg per IP reaction; 20% of IP loaded) from 293T cells prepared using NETN lysis buffer. Antibodies: Affinity purified rabbit anti-ASH2 antibody (lot was used at 1 ug/ml. Detection: Chemiluminescence with an exposure time of 3 minutes.
- Submitted by
- Novus Biologicals (provider)
- Main image

- Experimental details
- Western Blot: ASH2L Antibody [NB600-250] - Samples: Whole cell lysate (50 ug) from 293T and Jurkat cells prepared using NETN lysis buffer. Antibody: Affinity purified rabbit anti-ASH2 antibody used for WB at 0.1 ug/ml. Detection: Chemiluminescence with an exposure time of 3 minutes.
- Submitted by
- Novus Biologicals (provider)
- Main image

- Experimental details
- Western Blot: ASH2L Antibody [NB600-250] - Detection of Human ASH2 on HeLa whole cell lysates using NB600-250. Immunoprecipitated ASH2 was detected by WB using affinity purified rabbit anti-ASH2 antibody NB600-251 used.
- Submitted by
- Novus Biologicals (provider)
- Main image

- Experimental details
- Western Blot: ASH2L Antibody [NB600-250] - Detection of human ASH2 by western blot. Samples: Whole cell lysate (50 µg) from HEK293T and Jurkat cells prepared using NETN lysis buffer. Antibody: Affinity purified rabbit anti-ASH2 antibody NB600-250 used for WB at 0.1 µg/ml. Detection: Chemiluminescence with an exposure time of 3 minutes.
Supportive validation
- Submitted by
- Novus Biologicals (provider)
- Main image

- Experimental details
- Immunohistochemistry: ASH2L Antibody [NB600-250] - Sample: FFPE section of human breast carcinoma. Antibody: Affinity purified rabbit anti-ASH2 used at a dilution of 1:1,000 ( 1ug/ml). Detection: DAB staining using Immunohistochemistry Accessory Kit.
- Submitted by
- Novus Biologicals (provider)
- Main image

- Experimental details
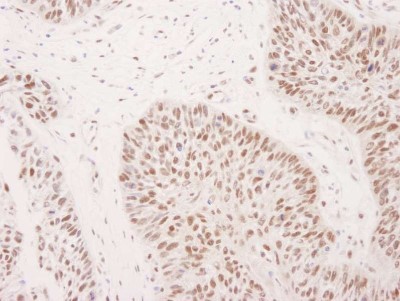
- Immunohistochemistry-Paraffin: ASH2L Antibody [NB600-250] - Human laryngeal squamous cell carcinoma. Antibody used at a dilution of 1:1000 (1ug/ml).
Supportive validation
- Submitted by
- Novus Biologicals (provider)
- Main image

- Experimental details
- Chromatin Immunoprecipitation: ASH2L Antibody [NB600-250] - A. 10 ug of was used to immunoprecipitate chromatin from K562 cells according to Ren et al (Genes Dev. 2002 16: 245-256). Immunoprecipitated DNA and reference DNA were amplified via ligation-mediated PCR and the products labeled with fluorescent dNTPs. The labeled ChIP and reference DNA were pooled, hybridized to a DNA microarray, and analyzed. Data points below the +3 SD curve (red line) represent significantly enriched binding sites. B. As a control, a similar experiment was performed using normal rabbit IgG. Compared to the anti-Ash2 ChIP, normal rabbit IgG showed little enrichment.