Antibody data
- Antibody Data
- Antigen structure
- References [6]
- Comments [0]
- Validations
- Western blot [1]
- Immunocytochemistry [1]
- Immunohistochemistry [2]
Submit
Validation data
Reference
Comment
Report error
- Product number
- 60073-2-Ig - Provider product page

- Provider
- Proteintech Group
- Proper citation
- Proteintech Cat#60073-2-Ig, RRID:AB_10597538
- Product name
- RRM1 antibody
- Antibody type
- Monoclonal
- Description
- RRM1 antibody (Cat. #60073-2-Ig) is a mouse monoclonal antibody that shows reactivity with human and has been validated for the following applications: IF, IHC, IP, WB,ELISA.
- Reactivity
- Human
- Host
- Mouse
- Conjugate
- Unconjugated
- Isotype
- IgG
- Antibody clone number
- 5H6F3
- Vial size
- 20ul, 150ul
Submitted references Abrogation of ARF6 in promoting erastin-induced ferroptosis and mitigating capecitabine resistance in gastric cancer cells.
Knockdown of RRM1 in tumor cells promotes radio-/chemotherapy induced ferroptosis by regulating p53 ubiquitination and p21-GPX4 signaling axis.
Ribonucleotide reductase inhibitors suppress SAMHD1 ara-CTPase activity enhancing cytarabine efficacy.
Clinical implications of ribonucleotide reductase subunit M1 in patients with pancreatic cancer who undergo curative resection followed by adjuvant chemotherapy with gemcitabine.
ATM, THMS, and RRM1 protein expression in nasopharyngeal carcinomas treated with curative intent.
[Prognostic Analysis of ERCC1, RRM1 and p53 Expressions in Postoperative Stage I-II Lung Cancer.].
Geng D, Wu H
Journal of gastrointestinal oncology 2022 Jun;13(3):958-967
Journal of gastrointestinal oncology 2022 Jun;13(3):958-967
Knockdown of RRM1 in tumor cells promotes radio-/chemotherapy induced ferroptosis by regulating p53 ubiquitination and p21-GPX4 signaling axis.
Gao Y, Chen B, Wang R, Xu A, Wu L, Lu H, Zhao G
Cell death discovery 2022 Aug 1;8(1):343
Cell death discovery 2022 Aug 1;8(1):343
Ribonucleotide reductase inhibitors suppress SAMHD1 ara-CTPase activity enhancing cytarabine efficacy.
Rudd SG, Tsesmetzis N, Sanjiv K, Paulin CB, Sandhow L, Kutzner J, Hed Myrberg I, Bunten SS, Axelsson H, Zhang SM, Rasti A, Mäkelä P, Coggins SA, Tao S, Suman S, Branca RM, Mermelekas G, Wiita E, Lee S, Walfridsson J, Schinazi RF, Kim B, Lehtiö J, Rassidakis GZ, Pokrovskaja Tamm K, Warpman-Berglund U, Heyman M, Grandér D, Lehmann S, Lundbäck T, Qian H, Henter JI, Schaller T, Helleday T, Herold N
EMBO molecular medicine 2020 Mar 6;12(3):e10419
EMBO molecular medicine 2020 Mar 6;12(3):e10419
Clinical implications of ribonucleotide reductase subunit M1 in patients with pancreatic cancer who undergo curative resection followed by adjuvant chemotherapy with gemcitabine.
Aoyama T, Miyagi Y, Murakawa M, Yamaoku K, Atsumi Y, Shiozawa M, Ueno M, Morimoto M, Oshima T, Yukawa N, Yoshikawa T, Rino Y, Masuda M, Morinaga S
Oncology letters 2017 May;13(5):3423-3430
Oncology letters 2017 May;13(5):3423-3430
ATM, THMS, and RRM1 protein expression in nasopharyngeal carcinomas treated with curative intent.
Ko JJ, Klimowicz AC, Jagdis A, Phan T, Laskin J, Lau HY, Siever JE, Petrillo SK, Thomson TA, Rose MS, Bebb G, Magliocco AM, Hao D
Head & neck 2016 Apr;38 Suppl 1:E384-91
Head & neck 2016 Apr;38 Suppl 1:E384-91
[Prognostic Analysis of ERCC1, RRM1 and p53 Expressions in Postoperative Stage I-II Lung Cancer.].
Wang H, Feng J, Zhang X, Yang X, He W, Sha H, Han B
Zhongguo fei ai za zhi = Chinese journal of lung cancer 2009 May 20;12(5):387-95
Zhongguo fei ai za zhi = Chinese journal of lung cancer 2009 May 20;12(5):387-95
No comments: Submit comment
Supportive validation
- Submitted by
- Proteintech Group (provider)
- Main image

- Experimental details
- K-562 cells were subjected to SDS PAGE followed by western blot with 60073-2-Ig(RRM1 antibody) at dilution of 1:1000
- Sample type
- cell line
Supportive validation
- Submitted by
- Proteintech Group (provider)
- Main image

- Experimental details
- The RRM1 antibody from Proteintech is a mouse monoclonal antibody to a recombinant protein of human RRM1. This antibody recognizes human antigen. The RRM1 antibody has been validated for the following applications: ELISA, WB, IHC, IF analysis.
Supportive validation
- Submitted by
- Proteintech Group (provider)
- Main image

- Experimental details
- Immunohistochemical of paraffin-embedded human lung cancer using 60073-2-Ig(RRM1 antibody) at dilution of 1:100 (under 10x lens)
- Sample type
- tissue
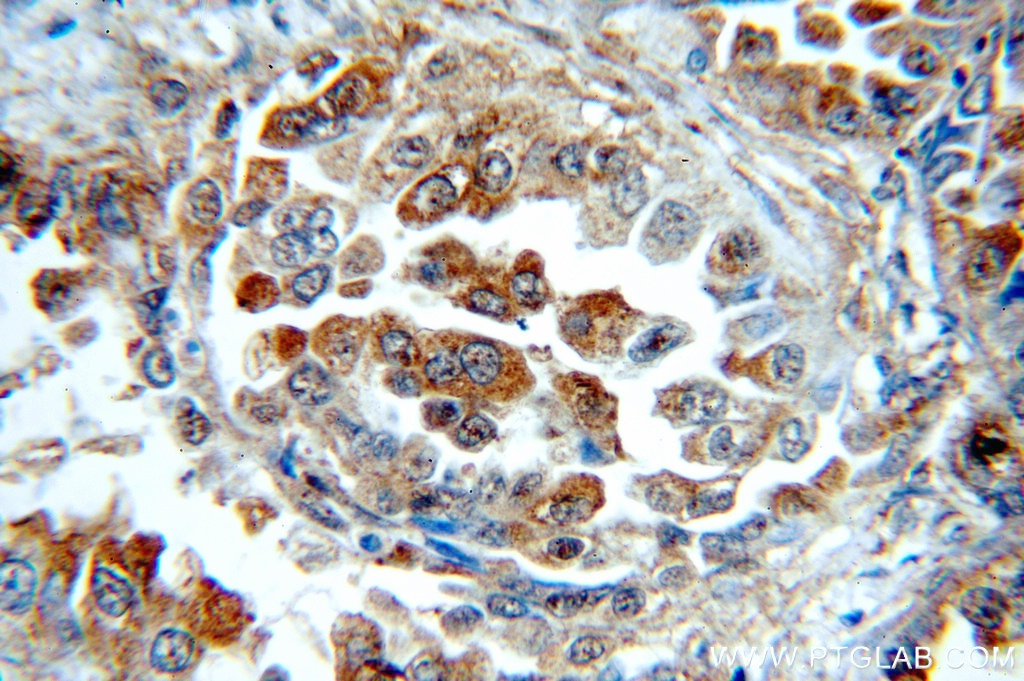
- Submitted by
- Proteintech Group (provider)
- Main image

- Experimental details
- Immunohistochemical of paraffin-embedded human lung cancer using 60073-2-Ig(RRM1 antibody) at dilution of 1:100 (under 40x lens)
- Sample type
- tissue