Antibody data
- Antibody Data
- Antigen structure
- References [0]
- Comments [0]
- Validations
- Immunohistochemistry [5]
Submit
Validation data
Reference
Comment
Report error
- Product number
- LS-C834885 - Provider product page

- Provider
- LSBio
- Product name
- NUP210 / gp210 Antibody LS-C834885
- Antibody type
- Polyclonal
- Description
- Antigen Affinity purification
- Reactivity
- Human, Mouse, Rat
- Host
- Rabbit
- Isotype
- IgG
- Storage
- Store at -20°C. Avoid freeze-thaw cycles.
No comments: Submit comment
Supportive validation
- Submitted by
- LSBio (provider)
- Enhanced method
- Genetic validation
- Main image

- Experimental details
- Immunohistochemistry of paraffin-embedded Human ovarian cancer tissue using NUP210 Polyclonal Antibody at dilution of 1:30(×200)
- Submitted by
- LSBio (provider)
- Enhanced method
- Genetic validation
- Main image

- Experimental details
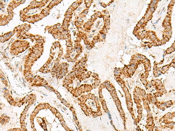
- Immunohistochemistry of paraffin-embedded Human thyroid cancer tissue using NUP210 Polyclonal Antibody at dilution of 1:30(×200)
- Submitted by
- LSBio (provider)
- Enhanced method
- Genetic validation
- Main image

- Experimental details
- Immunohistochemistry of paraffin-embedded Human thyroid cancer tissue using NUP210 Polyclonal Antibody at dilution of 1:30(×200)
- Submitted by
- LSBio (provider)
- Enhanced method
- Genetic validation
- Main image

- Experimental details
- Immunohistochemistry of paraffin-embedded Human thyroid cancer tissue using NUP210 Polyclonal Antibody at dilution of 1:30(×200)
- Submitted by
- LSBio (provider)
- Enhanced method
- Genetic validation
- Main image

- Experimental details
- Immunohistochemistry of paraffin-embedded Human ovarian cancer tissue using NUP210 Polyclonal Antibody at dilution of 1:30(×200)