Antibody data
- Antibody Data
- Antigen structure
- References [0]
- Comments [0]
- Validations
- Immunohistochemistry [3]
- Other assay [1]
Submit
Validation data
Reference
Comment
Report error
- Product number
- 914-RBM7-P1ABX - Provider product page

- Provider
- Invitrogen Antibodies
- Product name
- CD2/Lymphocyte Function Antigen 2 (LFA-2) Recombinant Rabbit Monoclonal Antibody (LFA2, 3417R)
- Antibody type
- Monoclonal
- Antigen
- Synthetic peptide
- Reactivity
- Human
- Host
- Rabbit
- Isotype
- IgG
- Antibody clone number
- LFA2, 3417R
- Vial size
- 100 µg
- Concentration
- 1 mg/mL
- Storage
- -20°C or -80°C if preferred
No comments: Submit comment
Supportive validation
- Submitted by
- Invitrogen Antibodies (provider)
- Main image

- Experimental details
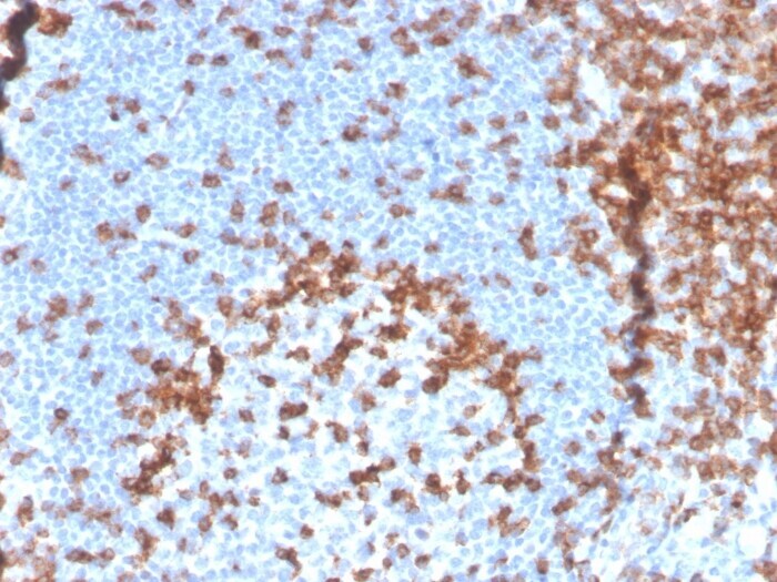
- Immunohistochemistry (Paraffin) analysis performed in formalin fixed, paraffin-embedded human tonsil using CD2, Lymphocyte Function Antigen 2 (LFA-2) Recombinant Monoclonal Antibody (Product # 914-RBM7-P1ABX).
- Submitted by
- Invitrogen Antibodies (provider)
- Main image

- Experimental details
- Immunohistochemistry (Paraffin) analysis performed in formalin fixed, paraffin-embedded human tonsil using CD2, Lymphocyte Function Antigen 2 (LFA-2) Recombinant Monoclonal Antibody (Product # 914-RBM7-P1ABX).
- Submitted by
- Invitrogen Antibodies (provider)
- Main image

- Experimental details
- Immunohistochemistry (Paraffin) analysis performed in formalin fixed, paraffin-embedded human brain using CD2, Lymphocyte Function Antigen 2 (LFA-2) Recombinant Monoclonal Antibody (Product # 914-RBM7-P1ABX) at 2 µg/mL in PBS for 30 min RT. HIER: Tris/EDTA, pH9.0, 45 min. Secondary: HRP-polymer, 30 min. DAB, 5 min.
Supportive validation
- Submitted by
- Invitrogen Antibodies (provider)
- Main image

- Experimental details
- SDS-PAGE Analyis Purified CD2, Lymphocyte Function Antigen 2 (LFA-2) Recombinant Monoclonal Antibody (Product # 914-RBM7-P1ABX). Confirmation of Purity and Integrity of Antibody.