SP4210P
antibody from Acris Antibodies GmbH
Targeting: GPER1
CEPR, CMKRL2, DRY12, FEG-1, GPCR-Br, GPER, GPR30, LERGU, LERGU2, LyGPR
Antibody data
- Antibody Data
- Antigen structure
- References [0]
- Comments [0]
- Validations
- Immunohistochemistry [1]
Submit
Validation data
Reference
Comment
Report error
- Product number
- SP4210P - Provider product page

- Provider
- Acris Antibodies GmbH
- Proper citation
- Acris Antibodies GmbH Cat#SP4210P, RRID:AB_1001527
- Product name
- anti GPER / GPR30
- Antibody type
- Polyclonal
- Antigen
- Synthetic 16 amino acid peptide from 1st extracellular domain of Human GPR30. Percent identity with other species by BLAST analysis: Human, Gorilla (100%); Monkey, Marmoset, Rabbit (94%); Mouse, Rat, Dog, Bat, Bovine, Hamster, Elephant, Panda, Horse, Opossum, Turkey, Zebra finch, Chicken, Platypus, Xenopus, Pufferfish, Zebrafish, Stickleback (88%); Seabass (81%).Epitope: 1st Extracellular Domain.
- Reactivity
- Human
- Host
- Rabbit
- Vial size
- 50 µg
- Concentration
- 1.0 mg/ml
No comments: Submit comment
Supportive validation
- Submitted by
- Acris Antibodies GmbH (provider)
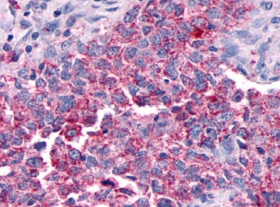
- Main image

- Experimental details
- Immunohistochemical staining of Breast Carcinoma using anti- GPR30 antibody Cat.-No SP4210P after heat-induced antigen retrieval.