Antibody data
- Antibody Data
- Antigen structure
- References [1]
- Comments [0]
- Validations
- Western blot [1]
- Immunohistochemistry [1]
Submit
Validation data
Reference
Comment
Report error
- Product number
- NBP1-47368 - Provider product page

- Provider
- Novus Biologicals
- Proper citation
- Novus Cat#NBP1-47368, RRID:AB_10010322
- Product name
- Mouse Monoclonal S100A10 Antibody
- Antibody type
- Monoclonal
- Description
- Unpurified.
- Reactivity
- Human, Mouse
- Host
- Mouse
- Isotype
- IgG
- Vial size
- 0.1 ml
- Storage
- Store at 4C short term. Aliquot and store at -20C long term. Avoid freeze-thaw cycles.
Submitted references S100A10 silencing suppresses proliferation, migration and invasion of ovarian cancer cells and enhances sensitivity to carboplatin.
Wang L, Yan W, Li X, Liu Z, Tian T, Chen T, Zou L, Cui Z
Journal of ovarian research 2019 Nov 18;12(1):113
Journal of ovarian research 2019 Nov 18;12(1):113
No comments: Submit comment
Supportive validation
- Submitted by
- Novus Biologicals (provider)
- Main image

- Experimental details
- Western Blot: S100A10 Antibody (4E7E10) [NBP1-47368] - Analysis using S100A10/P11 mouse mAb against MCF-7 (1), HepG2 (2) and Hela (3).
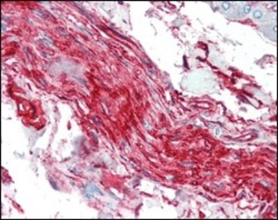
Supportive validation
- Submitted by
- Novus Biologicals (provider)
- Main image

- Experimental details
- Immunohistochemistry-Paraffin: S100A10 Antibody (4E7E10) [NBP1-47368] - Analysis of human nerve and ganglion cells using S100A10/P11 mouse mAb.