Antibody data
- Antibody Data
- Antigen structure
- References [6]
- Comments [0]
- Validations
- Western blot [1]
- Immunocytochemistry [1]
- Immunoprecipitation [1]
- Immunohistochemistry [2]
- Flow cytometry [1]
Submit
Validation data
Reference
Comment
Report error
- Product number
- 15508-1-AP - Provider product page

- Provider
- Proteintech Group
- Proper citation
- Proteintech Cat#15508-1-AP, RRID:AB_2199501
- Product name
- Transgelin-2-specific antibody
- Antibody type
- Polyclonal
- Description
- KD/KO validated Transgelin-2-specific antibody (Cat. #15508-1-AP) is a rabbit polyclonal antibody that shows reactivity with Human and has been validated for the following applications: FC, IF, IHC, IP, WB,ELISA.
- Reactivity
- Human
- Host
- Rabbit
- Conjugate
- Unconjugated
- Isotype
- IgG
- Vial size
- 20ul, 150ul
Submitted references MOBT Alleviates Pulmonary Fibrosis through an lncITPF-hnRNP-l-Complex-Mediated Signaling Pathway.
An Essential NRP1-Mediated Role for Tagln2 in Gastric Cancer Angiogenesis.
MiR-613 inhibits the proliferation, migration, and invasion of papillary thyroid carcinoma cells by directly targeting TAGLN2.
Transgelin-2 contributes to proliferation and progression of hepatocellular carcinoma via regulating Annexin A2.
The tumor-suppressive function of miR-1 by targeting LASP1 and TAGLN2 in esophageal squamous cell carcinoma.
Transgelin 2 participates in lovastatin-induced anti-angiogenic effects in endothelial cells through a phosphorylated myosin light chain-related mechanism.
Xu P, Zhang H, Li H, Liu B, Li R, Zhang J, Song X, Lv C, Li H, Chen M
Molecules (Basel, Switzerland) 2022 Aug 22;27(16)
Molecules (Basel, Switzerland) 2022 Aug 22;27(16)
An Essential NRP1-Mediated Role for Tagln2 in Gastric Cancer Angiogenesis.
Jin H, Zheng W, Hou J, Peng H, Zhuo H
Frontiers in oncology 2021;11:653246
Frontiers in oncology 2021;11:653246
MiR-613 inhibits the proliferation, migration, and invasion of papillary thyroid carcinoma cells by directly targeting TAGLN2.
Huang Y, Zhang H, Wang L, Liu C, Guo M, Tan H, Liu Z
Cancer cell international 2021 Sep 16;21(1):494
Cancer cell international 2021 Sep 16;21(1):494
Transgelin-2 contributes to proliferation and progression of hepatocellular carcinoma via regulating Annexin A2.
Shi J, Ren M, She X, Zhang Z, Zhao Y, Han Y, Lu D, Lyu L
Biochemical and biophysical research communications 2020 Mar 12;523(3):632-638
Biochemical and biophysical research communications 2020 Mar 12;523(3):632-638
The tumor-suppressive function of miR-1 by targeting LASP1 and TAGLN2 in esophageal squamous cell carcinoma.
Du YY, Zhao LM, Chen L, Sang MX, Li J, Ma M, Liu JF
Journal of gastroenterology and hepatology 2016 Feb;31(2):384-93
Journal of gastroenterology and hepatology 2016 Feb;31(2):384-93
Transgelin 2 participates in lovastatin-induced anti-angiogenic effects in endothelial cells through a phosphorylated myosin light chain-related mechanism.
Xiao Y, Li Y, Han J, Pan Y, Tie L, Li X
PloS one 2012;7(10):e46510
PloS one 2012;7(10):e46510
No comments: Submit comment
Supportive validation
- Submitted by
- Proteintech Group (provider)
- Main image

- Experimental details
- human stomach tissue were subjected to SDS PAGE followed by western blot with 15508-1-AP(Transgelin-2-specific antibody) at dilution of 1:100
- Sample type
- tissue
Supportive validation
- Submitted by
- Proteintech Group (provider)
- Main image

- Experimental details
- Immunofluorescent analysis of HepG2 cells, using TAGLN2 antibody 21554-1-AP at 1:25 dilution and Rhodamine-labeled goat anti-rabbit IgG (red). Blue pseudocolor = DAPI (fluorescent DNA dye).
- Sample type
- cell line
Supportive validation
- Submitted by
- Proteintech Group (provider)
- Main image

- Experimental details
- IP Result of anti-Transgelin-2-specific (IP:15508-1-AP, 3ug; Detection:15508-1-AP 1:500) with L02 cells lysate 1000ug.
- Sample type
- cell line
Supportive validation
- Submitted by
- Proteintech Group (provider)
- Main image

- Experimental details
- Immunohistochemical of paraffin-embedded human kidney using 15508-1-AP(Transgelin-2-specific antibody) at dilution of 1:50 (under 10x lens)
- Sample type
- tissue
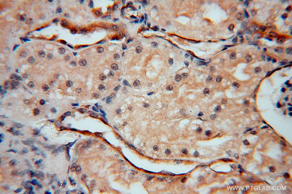
- Submitted by
- Proteintech Group (provider)
- Main image

- Experimental details
- Immunohistochemical of paraffin-embedded human kidney using 15508-1-AP(Transgelin-2-specific antibody) at dilution of 1:50 (under 40x lens)
- Sample type
- tissue
Supportive validation
- Submitted by
- Proteintech Group (provider)
- Main image

- Experimental details
- The Transgelin-2-specific antibody from Proteintech is a rabbit polyclonal antibody to a peptide of human Transgelin-2-specific. This antibody recognizes human,mouse,rat antigen. The Transgelin-2-specific antibody has been validated for the following applications: ELISA, WB, IHC, IF, IP, FC analysis.