Antibody data
- Antibody Data
- Antigen structure
- References [4]
- Comments [0]
- Validations
- Western blot [2]
- Immunohistochemistry [3]
Submit
Validation data
Reference
Comment
Report error
- Product number
- NBP1-89722 - Provider product page

- Provider
- Novus Biologicals
- Proper citation
- Novus Cat#NBP1-89722, RRID:AB_11025565
- Product name
- Rabbit Polyclonal transgelin 2 Antibody
- Antibody type
- Polyclonal
- Description
- Immunogen affinity purified. Specificity of human transgelin 2 antibody verified on a Protein Array containing target protein plus 383 other non-specific proteins.
- Reactivity
- Human, Mouse, Rat
- Host
- Rabbit
- Isotype
- IgG
- Vial size
- 0.1 ml
- Storage
- Store at 4C short term. Aliquot and store at -20C long term. Avoid freeze-thaw cycles.
Submitted references Transgelin 2 is required for embryo implantation by promoting actin polymerization.
Systematic validation of antibody binding and protein subcellular localization using siRNA and confocal microscopy.
The tumour-suppressive function of miR-1 and miR-133a targeting TAGLN2 in bladder cancer.
miR-1 as a tumor suppressive microRNA targeting TAGLN2 in head and neck squamous cell carcinoma.
Liang X, Jin Y, Wang H, Meng X, Tan Z, Huang T, Fan S
FASEB journal : official publication of the Federation of American Societies for Experimental Biology 2019 Apr;33(4):5667-5675
FASEB journal : official publication of the Federation of American Societies for Experimental Biology 2019 Apr;33(4):5667-5675
Systematic validation of antibody binding and protein subcellular localization using siRNA and confocal microscopy.
Stadler C, Hjelmare M, Neumann B, Jonasson K, Pepperkok R, Uhlén M, Lundberg E
Journal of proteomics 2012 Apr 3;75(7):2236-51
Journal of proteomics 2012 Apr 3;75(7):2236-51
The tumour-suppressive function of miR-1 and miR-133a targeting TAGLN2 in bladder cancer.
Yoshino H, Chiyomaru T, Enokida H, Kawakami K, Tatarano S, Nishiyama K, Nohata N, Seki N, Nakagawa M
British journal of cancer 2011 Mar 1;104(5):808-18
British journal of cancer 2011 Mar 1;104(5):808-18
miR-1 as a tumor suppressive microRNA targeting TAGLN2 in head and neck squamous cell carcinoma.
Nohata N, Sone Y, Hanazawa T, Fuse M, Kikkawa N, Yoshino H, Chiyomaru T, Kawakami K, Enokida H, Nakagawa M, Shozu M, Okamoto Y, Seki N
Oncotarget 2011 Jan-Feb;2(1-2):29-42
Oncotarget 2011 Jan-Feb;2(1-2):29-42
No comments: Submit comment
Supportive validation
- Submitted by
- Novus Biologicals (provider)
- Main image

- Experimental details
- Western Blot: transgelin 2 Antibody [NBP1-89722] - Analysis in mouse cell line NIH-3T3 and rat cell line NBT-II.
- Submitted by
- Novus Biologicals (provider)
- Main image

- Experimental details
- Western Blot: transgelin 2 Antibody [NBP1-89722] - Analysis in human cell line A-431.
Supportive validation
- Submitted by
- Novus Biologicals (provider)
- Main image

- Experimental details
- Immunohistochemistry-Paraffin: transgelin 2 Antibody [NBP1-89722] - Staining of human lung shows moderate cytoplasmic positivity in macrophages.
- Submitted by
- Novus Biologicals (provider)
- Main image

- Experimental details
- Immunohistochemistry-Paraffin: transgelin 2 Antibody [NBP1-89722] - Staining of human tonsil shows moderate to strong positivity in germinal center cells.
- Submitted by
- Novus Biologicals (provider)
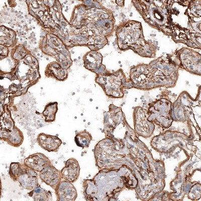
- Main image

- Experimental details
- Immunohistochemistry-Paraffin: transgelin 2 Antibody [NBP1-89722] - Staining of human placenta shows moderate to strong cytoplasmic positivity in trophoblastic cells.