Antibody data
- Antibody Data
- Antigen structure
- References [0]
- Comments [0]
- Validations
- Immunocytochemistry [1]
- Immunohistochemistry [1]
Submit
Validation data
Reference
Comment
Report error
- Product number
- PAB28458 - Provider product page

- Provider
- Abnova Corporation
- Product name
- KIAA1333 polyclonal antibody
- Antibody type
- Polyclonal
- Description
- Rabbit polyclonal antibody raised against recombinant KIAA1333.
- Antigen sequence
IQAYPEAFCSILCHKPESLSAKILSELFTVHTLPD
VKALGFWNSYLQAVEDGKSTTTMEDILIFATGCSS
IPPAGFKPTPSIECLHVDFPVGNKCNNCLAIPITN
TYKEFQENMDFTIRNT- Isotype
- IgG
- Storage
- Store at 4°C. For long term storage store at -20°C.Aliquot to avoid repeated freezing and thawing.
No comments: Submit comment
Supportive validation
- Submitted by
- Abnova Corporation (provider)
- Main image

- Experimental details
- Immunofluorescent staining of U-2 OS with KIAA1333 polyclonal antibody (Cat # PAB28458) at 1-4 ug/mL dilution shows positivity in cytoplasm & golgi apparatus.
- Validation comment
- Immunofluorescence
Supportive validation
- Submitted by
- Abnova Corporation (provider)
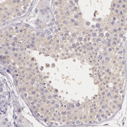
- Main image

- Experimental details
- Immunohistochemical staining of human testis with KIAA1333 polyclonal antibody (Cat # PAB28458) shows weak cytoplasmic positivity in cells in seminiferus ducts at 1:200-1:500 dilution.
- Validation comment
- Immunohistochemistry (Formalin/PFA-fixed paraffin-embedded sections)