NBP2-45527
antibody from Novus Biologicals
		Targeting: B3GNT2
		
		B3GN-T1, B3GN-T2, B3GNT-2, B3GNT1, BETA3GNT	
	
	
	
	
Antibody data
- Antibody Data
- Antigen structure
- References [0]
- Comments [0]
- Validations
- Western blot [1]
- Immunohistochemistry [2]
Submit
Validation data
Reference
Comment
Report error
- Product number
- NBP2-45527 - Provider product page 
- Provider
- Novus Biologicals
- Product name
- Mouse Monoclonal Beta-1,3-N-Acetylglucosaminyltransferase 2/B3GNT2 Antibody
- Antibody type
- Monoclonal
- Description
- Affinity purified.
- Reactivity
- Human
- Host
- Mouse
- Isotype
- IgG
- Vial size
- 0.1 ml
- Concentration
- 1 mg/ml
- Storage
- Store at -20C. Avoid freeze-thaw cycles.
				No comments: Submit comment	
	
			
							
					Supportive validation
					
									
				
				- Submitted by
- Novus Biologicals (provider)
- Main image
 
- Experimental details
- Western Blot: Beta-1,3-N-Acetylglucosaminyltransferase 2/B3GNT2 Antibody (OTI3A9) [NBP2-45527] - Analysis of HEK293T cells were transfected with the pCMV6-ENTRY control (Left lane) or pCMV6-ENTRY B3GNT2.
							
					Supportive validation
					
									
				
		- Submitted by
- Novus Biologicals (provider)
- Main image
 
- Experimental details
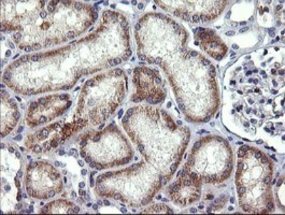
- Immunohistochemistry: Beta-1,3-N-Acetylglucosaminyltransferase 2/B3GNT2 Antibody (OTI3A9) [NBP2-45527] - Analysis of Human Kidney tissue. (Heat-induced epitope retrieval by 10mM citric buffer, pH6.0, 120C for 3min)
- Submitted by
- Novus Biologicals (provider)
- Main image
 
- Experimental details
- Immunohistochemistry: Beta-1,3-N-Acetylglucosaminyltransferase 2/B3GNT2 Antibody (OTI3A9) [NBP2-45527] - Analysis of Adenocarcinoma of Human colon tissue. (Heat-induced epitope retrieval by 10mM citric buffer, pH6.0, 120C for 3min)