Antibody data
- Antibody Data
- Antigen structure
- References [0]
- Comments [0]
- Validations
- Western blot [1]
- Immunohistochemistry [2]
Submit
Validation data
Reference
Comment
Report error
- Product number
- LS-C53320 - Provider product page

- Provider
- LSBio
- Proper citation
- LifeSpan Cat#LS-C53320, RRID:AB_2302097
- Product name
- SLC22A17 Antibody LS-C53320
- Antibody type
- Polyclonal
- Description
- Peptide Column Affinity Chromatography
- Reactivity
- Human, Mouse, Rat
- Host
- Rabbit
- Isotype
- IgG
- Storage
- Store at 4°C for up 3 months. Store at -20°C for up to 1 year. Avoid freeze/thaw cycles.
No comments: Submit comment
Enhanced validation
- Submitted by
- LSBio (provider)
- Enhanced method
- Genetic validation
- Main image

- Experimental details
- Western blot of Slc22A17 in SK-N-SH lysate with Slc22A17 antibody at 1 ug/ml in (A) the absence and (B) the presence of blocking peptide.
Enhanced validation
- Submitted by
- LSBio (provider)
- Enhanced method
- Genetic validation
- Main image

- Experimental details
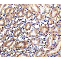
- Immunohistochemistry of SLC22A17 in mouse kidney tissue with SLC22A17 antibody at 2.5 µg/ml.
- Submitted by
- LSBio (provider)
- Main image

- Experimental details
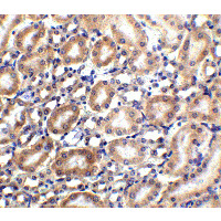
- Immunohistochemistry of SLC22A17 in mouse kidney tissue with SLC22A17 antibody at 2.5 µg/ml.