PA5-61284
antibody from Invitrogen Antibodies
Targeting: ZNF322
bA457M11.2, bA457M11.3, HCG12, ZNF322A, ZNF388, ZNF489
Antibody data
- Antibody Data
- Antigen structure
- References [0]
- Comments [0]
- Validations
- Immunocytochemistry [3]
- Immunohistochemistry [1]
Submit
Validation data
Reference
Comment
Report error
- Product number
- PA5-61284 - Provider product page

- Provider
- Invitrogen Antibodies
- Product name
- ZNF322A Polyclonal Antibody
- Antibody type
- Polyclonal
- Antigen
- Recombinant protein fragment
- Description
- Immunogen sequence: KPFVCNVSEK GLELSPPHAS EASQMS Highest antigen sequence identity to the following orthologs: Mouse - 58%, Rat - 62%.
- Reactivity
- Human
- Host
- Rabbit
- Isotype
- IgG
- Vial size
- 100 μL
- Concentration
- 0.2 mg/mL
- Storage
- Store at 4°C short term. For long term storage, store at -20°C, avoiding freeze/thaw cycles.
No comments: Submit comment
Supportive validation
- Submitted by
- Invitrogen Antibodies (provider)
- Main image

- Experimental details
- Immunofluorescent staining of ZNF322 in human cell line RH-30 shows positivity in nucleus, cytoplasm & centrosome. Samples were probed using a ZNF322 Polyclonal Antibody (Product # PA5-61284).
- Submitted by
- Invitrogen Antibodies (provider)
- Main image

- Experimental details
- Immunofluorescent staining of ZNF322A in human cell line RH-30 using a ZNF322A Polyclonal Antibody (Product # PA5-61284) shows localization to nucleoplasm, cytosol and centrosome.
- Submitted by
- Invitrogen Antibodies (provider)
- Main image

- Experimental details
- Immunofluorescent staining of ZNF322A in human cell line RH-30 using a ZNF322A Polyclonal Antibody (Product # PA5-61284) shows localization to nucleoplasm, cytosol and centrosome.
Supportive validation
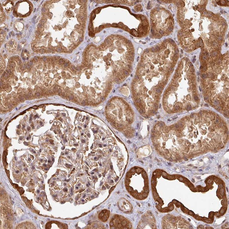
- Submitted by
- Invitrogen Antibodies (provider)
- Main image

- Experimental details
- Immunohistochemical analysis of ZNF322A in human kidney using ZNF322A Polyclonal Antibody (Product # PA5-61284) shows distinct cytoplasmic positivity in cells in tubules.