Antibody data
- Antibody Data
- Antigen structure
- References [0]
- Comments [0]
- Validations
- Immunohistochemistry [2]
Submit
Validation data
Reference
Comment
Report error
- Product number
- GTX37682 - Provider product page

- Provider
- GeneTex
- Proper citation
- GeneTex Cat#GTX37682, RRID:AB_11167311
- Product name
- GPA33 antibody
- Antibody type
- Polyclonal
- Reactivity
- Human
- Host
- Rabbit
No comments: Submit comment
Supportive validation
- Submitted by
- GeneTex (provider)
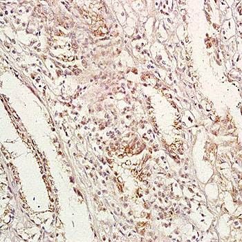
- Main image

- Experimental details
- IHC-P analysis of human gastric carcinoma tissue using GPA33 antibody at a dilution of 1:200.
- Submitted by
- GeneTex (provider)
- Main image

- Experimental details
- IHC-P analysis of human gastric carcinoma tissue using GPA33 antibody at a dilution of 1:200.