Antibody data
- Antibody Data
- Antigen structure
- References [0]
- Comments [0]
- Validations
- Western blot [1]
- Immunocytochemistry [1]
- Immunohistochemistry [1]
Submit
Validation data
Reference
Comment
Report error
- Product number
- GTX115515 - Provider product page

- Provider
- GeneTex
- Proper citation
- GeneTex Cat#GTX115515, RRID:AB_10624411
- Product name
- LMAN2 antibody [N1C2]
- Antibody type
- Polyclonal
- Reactivity
- Human
- Host
- Rabbit
- Storage
- Keep as concentrated solution. Aliquot and store at -20°C or below. Avoid multiple freeze-thaw cycles.
No comments: Submit comment
Supportive validation
- Submitted by
- GeneTex (provider)
- Main image

- Experimental details
- Sample (30 μg of whole cell lysate) A: 293T 10% SDS PAGE GTX115515 diluted at 1:1000
Supportive validation
- Submitted by
- GeneTex (provider)
- Main image

- Experimental details
- LMAN2 antibody [N1C2] detects LMAN2 protein at cytoplasm by immunofluorescent analysis. Sample: 293T cells were fixed in 2% paraformaldehyde/culture medium at 37¢J for 30 min.Green: LMAN2 protein stained by LMAN2 antibody [N1C2] (GTX115515) diluted at 1:500.Blue: Hoechst 33343 staining.
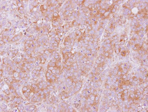
Supportive validation
- Submitted by
- GeneTex (provider)
- Main image

- Experimental details
- Immunohistochemical analysis of paraffin-embedded MCF7 xenograft, using LMAN2(GTX115515) antibody at 1:100 dilution.