Antibody data
- Antibody Data
- Antigen structure
- References [2]
- Comments [0]
- Validations
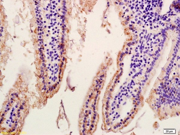
- Immunohistochemistry [3]
Submit
Validation data
Reference
Comment
Report error
- Product number
- ABIN755143 - Provider product page

- Provider
- antibodies-online
- Proper citation
- Antibodies-Online Cat#ABIN755143, RRID:AB_11186827
- Product name
- anti-Solute Carrier Family 10 (Sodium/bile Acid Cotransporter Family), Member 2 (SLC10A2) (AA 178-195) antibody
- Antibody type
- Polyclonal
- Description
- Purified by Protein A.
- Reactivity
- Human, Mouse, Rat
- Host
- Rabbit
- Epitope
- AA 178-195
- Isotype
- IgG
- Vial size
- 100 μL
- Storage
- Store at -20°C
Submitted references Bile acid promotes liver regeneration via farnesoid X receptor signaling pathways in rats.
The antihypercholesterolemic effect of jatrorrhizine isolated from Rhizoma Coptidis.
Ding L, Yang Y, Qu Y, Yang T, Wang K, Liu W, Xia W
Molecular medicine reports 2015 Jun;11(6):4431-7
Molecular medicine reports 2015 Jun;11(6):4431-7
The antihypercholesterolemic effect of jatrorrhizine isolated from Rhizoma Coptidis.
Wu H, He K, Wang Y, Xue D, Ning N, Zou Z, Ye X, Li X, Wang D, Pang J
Phytomedicine : international journal of phytotherapy and phytopharmacology 2014 Sep 25;21(11):1373-81
Phytomedicine : international journal of phytotherapy and phytopharmacology 2014 Sep 25;21(11):1373-81
No comments: Submit comment
Supportive validation
- Submitted by
- antibodies-online (provider)
- Main image

- Experimental details
- IHC
- Submitted by
- antibodies-online (provider)
- Main image

- Experimental details
- IHC
- Submitted by
- antibodies-online (provider)
- Main image

- Experimental details
- IHC