Antibody data
- Antibody Data
- Antigen structure
- References [1]
- Comments [0]
- Validations
- Western blot [4]
- Immunocytochemistry [4]
- Immunoprecipitation [1]
- Immunohistochemistry [1]
Submit
Validation data
Reference
Comment
Report error
- Product number
- GTX104620 - Provider product page

- Provider
- GeneTex
- Proper citation
- GeneTex Cat#GTX104620, RRID:AB_1949708
- Product name
- Aurora A antibody [C3], C-term
- Antibody type
- Polyclonal
- Reactivity
- Human
- Host
- Rabbit
Submitted references Aqueous extracts of Paeonia suffruticosa modulates mitochondrial proteostasis by reactive oxygen species-induced endoplasmic reticulum stress in pancreatic cancer cells.
Liu YH, Weng YP, Tsai HY, Chen CJ, Lee DY, Hsieh CL, Wu YC, Lin JY
Phytomedicine : international journal of phytotherapy and phytopharmacology 2018 Jul 15;46:184-192
Phytomedicine : international journal of phytotherapy and phytopharmacology 2018 Jul 15;46:184-192
No comments: Submit comment
Supportive validation
- Submitted by
- GeneTex (provider)
- Main image

- Experimental details
- Aurora A antibody [C3], C-term detects AURKA protein by western blot analysis.A. 30 ?g 293T whole cell lysate/extract B. 30 ?g A431 whole cell lysate/extract C. 30 ?g HeLa whole cell lysate/extract D. 30 ?g HepG2 whole cell lysate/extract E. 30 ?g A375 whole cell lysate/extract 10% SDS-PAGEAurora A antibody [C3], C-term (GTX104620) dilution: 1:1000 The HRP-conjugated anti-rabbit IgG antibody (GTX213110-01) was used to detect the primary antibody.
- Submitted by
- GeneTex (provider)
- Main image

- Experimental details
- Aurora A antibody [C3], C-term detects AURKA protein by western blot analysis.A. 30 ?g Neuro2A whole cell lysate/extractB. 30 ?g GL261 whole cell lysate/extract 10% SDS-PAGEAurora A antibody [C3], C-term (GTX104620) dilution: 1:1000 The HRP-conjugated anti-rabbit IgG antibody (GTX213110-01) was used to detect the primary antibody.
- Submitted by
- GeneTex (provider)
- Main image

- Experimental details
- Aurora A antibody [C3], C-term detects AURKA protein by western blot analysis.A. 30 ?g PC-12 whole cell lysate/extract 10% SDS-PAGEAurora A antibody [C3], C-term (GTX104620) dilution: 1:1000 The HRP-conjugated anti-rabbit IgG antibody (GTX213110-01) was used to detect the primary antibody.
- Submitted by
- GeneTex (provider)
- Main image

- Experimental details
- Non-transfected (¡V) and transfected (+) 293T whole cell extracts (30 ?g) were separated by 10% SDS-PAGE, and the membrane was blotted with Aurora A antibody [C3], C-term (GTX104620) diluted at 1:1000. The HRP-conjugated anti-rabbit IgG antibody (GTX213110-01) was used to detect the primary antibody.
Supportive validation
- Submitted by
- GeneTex (provider)
- Main image

- Experimental details
- Confocal immunofluorescence analysis (Olympus FV10i) of methanol-fixed 293T, using Aurora A(GTX104620) antibody (Green) at 1:500 dilution. Alpha-tubulin filaments were labeled with GTX11304 (Red) at 1:2500.
- Submitted by
- GeneTex (provider)
- Main image

- Experimental details
- Confocal immunofluorescence analysis (Olympus FV10i) of paraformaldehyde-fixed U2OS, using Aurora A(GTX104620) antibody (Green) at 1:500 dilution. Alpha-tubulin filaments were labeled with GTX11304 (Red) at 1:500.
- Submitted by
- GeneTex (provider)
- Main image

- Experimental details
- Aurora A antibody [C3], C-term detects Aurora A protein at spindle by immunofluorescent analysis.Sample: HeLa cells were fixed in ice-cold MeOH for 5 min.Green: Aurora A stained by Aurora A antibody [C3], C-term (GTX104620) diluted at 1:500.Red: alpha Tubulin, a cytoskeleton marker, stained by alpha Tubulin antibody [GT114] (GTX628802) diluted at 1:500.Blue: Hoechst 33342 staining.
- Submitted by
- GeneTex (provider)
- Main image

- Experimental details
- Aurora A antibody [C3], C-term detects Aurora A protein at spindle by immunofluorescent analysis.Sample: HeLa cells were fixed in ice-cold MeOH for 5 min.Green: Aurora A stained by Aurora A antibody [C3], C-term (GTX104620) diluted at 1:500.Red: alpha Tubulin, a cytoskeleton marker, stained by alpha Tubulin antibody [GT114] (GTX628802) diluted at 1:500.Blue: Hoechst 33342 staining.
Supportive validation
- Submitted by
- GeneTex (provider)
- Main image

- Experimental details
- Aurora A antibody [C3], C-term immunoprecipitates Aurora A protein in IP experiments.IP samples: 293T whole cell extractA. Control with 4 £gg of preimmune Rabbit IgGB. Immunoprecipitation of Aurora A protein by 4 £gg Aurora A antibody [C3], C-term (GTX104620)10 % SDS-PAGEThe immunoprecipitated Aurora A protein was detected by Aurora A antibody [C3], C-term (GTX104620) diluted at 1:500.[EasyBlot anti-rabbit IgG (GTX221666-01) was used as a secondary reagent]
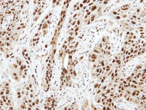
Supportive validation
- Submitted by
- GeneTex (provider)
- Main image

- Experimental details
- Immunohistochemical analysis of paraffin-embedded TW2.6 xenograft, using Aurora A(GTX104620) antibody at 1:100 dilution.