Antibody data
- Antibody Data
- Antigen structure
- References [11]
- Comments [0]
- Validations
- Immunohistochemistry [1]
Submit
Validation data
Reference
Comment
Report error
- Product number
- PB9533 - Provider product page

- Provider
- Boster Biological Technology
- Product name
- Anti-CDK1 Antibody Picoband™
- Antibody type
- Polyclonal
- Description
- Polyclonal antibody for CDC2/CDK1 detection. Host: Rabbit.Size: 100μg/vial. Tested applications: IHC-P. Reactive species: Human. CDC2/CDK1 information: Molecular Weight: 34095 MW; Subcellular Localization: Nucleus. Cytoplasm. Mitochondrion. Cytoplasm, cytoskeleton, microtubule organizing center, centrosome. Cytoplasm, cytoskeleton, spindle. Cytoplasmic during the interphase. Colocalizes with SIRT2 on centrosome during prophase and on splindle fibers during metaphase of the mitotic cell cycle. Reversibly translocated from cytoplasm to nucleus when phosphorylated before G2-M transition when associated with cyclin- B1. Accumulates in mitochondria in G2-arrested cells upon DNA- damage; Tissue Specificity: Isoform 2 is found in breast cancer tissues.
- Reactivity
- Human, Mouse, Rat
- Host
- Rabbit
- Vial size
- 100μg/vial
- Concentration
- Add 0.2ml of distilled water will yield a concentration of 500ug/ml.
- Storage
- At -20°C for one year. After reconstitution, at 4°C for one month. It can also be aliquoted and stored frozen at -20°C for a longer time. Avoid repeated freezing and thawing.
- Handling
- Add 0.2ml of distilled water will yield a concentration of 500ug/ml.
Submitted references ATG10 overexpression is related to the dismal prognosis and promotes the growth and migration of hepatocellular carcinoma cells via cyclin B1/CDK1 and CDK2.
Dieting alleviates hyperuricemia and organ injuries in uricase-deficient rats via down-regulating cell cycle pathway.
Administration of A. muciniphila ameliorates pulmonary arterial hypertension by targeting miR-208a-3p/NOVA1 axis.
Genetic Deletion of FXR1 Reduces Intimal Hyperplasia and Induces Senescence in Vascular Smooth Muscle Cells.
Compound K is a potential clinical anticancer agent in prostate cancer by arresting cell cycle.
Inhibitory Effect of Salvia miltiorrhiza Extract and Its Active Components on Cervical Intraepithelial Neoplastic Cells.
Extract of Ganoderma sinensis spores induces cell cycle arrest of hepatoma cell via endoplasmic reticulum stress.
Coxsackievirus A6 Induces Cell Cycle Arrest in G0/G1 Phase for Viral Production.
A novel cell cycle blocker extracted from Stellera chamaejasme L. inhibits the proliferation of hepatocarcinoma cells.
Cucurbitacin B inhibits growth and induces apoptosis through the JAK2/STAT3 and MAPK pathways in SH‑SY5Y human neuroblastoma cells.
XJW20, a novel oxoindole derivative, induces G2/M arrest and apoptosis selectively in K562 leukemia cell line.
Li F, Li K, Li D, Zhang W, Yang KW, Ke D, Guo Q, Shi RS
American journal of cancer research 2023;13(4):1188-1208
American journal of cancer research 2023;13(4):1188-1208
Dieting alleviates hyperuricemia and organ injuries in uricase-deficient rats via down-regulating cell cycle pathway.
Yu Y, Wan X, Li D, Qi Y, Li N, Luo G, Yin H, Wang L, Qin W, Li Y, Li L, Duan W
PeerJ 2023;11:e15999
PeerJ 2023;11:e15999
Administration of A. muciniphila ameliorates pulmonary arterial hypertension by targeting miR-208a-3p/NOVA1 axis.
Bao ZY, Li HM, Zhang SB, Fei YQ, Yao MF, Li LJ
Acta pharmacologica Sinica 2023 Nov;44(11):2201-2215
Acta pharmacologica Sinica 2023 Nov;44(11):2201-2215
Genetic Deletion of FXR1 Reduces Intimal Hyperplasia and Induces Senescence in Vascular Smooth Muscle Cells.
Corbett CB, St Paul A, Leigh T, Kelemen SE, Peluzzo AM, Okune RN, Eguchi S, Haines DS, Autieri MV
The American journal of pathology 2023 May;193(5):638-653
The American journal of pathology 2023 May;193(5):638-653
Compound K is a potential clinical anticancer agent in prostate cancer by arresting cell cycle.
Liu M, Zhang Y, Zhang A, Deng Y, Gao X, Wang J, Wang Y, Wang S, Liu J, Chen S, Yao W, Liu X
Phytomedicine : international journal of phytotherapy and phytopharmacology 2023 Jan;109:154584
Phytomedicine : international journal of phytotherapy and phytopharmacology 2023 Jan;109:154584
Inhibitory Effect of Salvia miltiorrhiza Extract and Its Active Components on Cervical Intraepithelial Neoplastic Cells.
Leng X, Kan H, Wu Q, Li C, Zheng Y, Peng G
Molecules (Basel, Switzerland) 2022 Feb 27;27(5)
Molecules (Basel, Switzerland) 2022 Feb 27;27(5)
Extract of Ganoderma sinensis spores induces cell cycle arrest of hepatoma cell via endoplasmic reticulum stress.
Lin W, Gu L, Zhu LY, Zhou S, Lian D, Xu Y, Zheng L, Liu X, Li L
Pharmaceutical biology 2021 Dec;59(1):704-714
Pharmaceutical biology 2021 Dec;59(1):704-714
Coxsackievirus A6 Induces Cell Cycle Arrest in G0/G1 Phase for Viral Production.
Wang Z, Wang Y, Wang S, Meng X, Song F, Huo W, Zhang S, Chang J, Li J, Zheng B, Liu Y, Zhang Y, Zhang W, Yu J
Frontiers in cellular and infection microbiology 2018;8:279
Frontiers in cellular and infection microbiology 2018;8:279
A novel cell cycle blocker extracted from Stellera chamaejasme L. inhibits the proliferation of hepatocarcinoma cells.
Kan XX, Li Q, Chen X, Wang YJ, Li YJ, Yang Q, Xiao HB, Wang ZX, Chen Y, Weng XG, Cai WY, Zhu XX
Oncology reports 2016 Jun;35(6):3480-8
Oncology reports 2016 Jun;35(6):3480-8
Cucurbitacin B inhibits growth and induces apoptosis through the JAK2/STAT3 and MAPK pathways in SH‑SY5Y human neuroblastoma cells.
Zheng Q, Liu Y, Liu W, Ma F, Zhou Y, Chen M, Chang J, Wang Y, Yang G, He G
Molecular medicine reports 2014 Jul;10(1):89-94
Molecular medicine reports 2014 Jul;10(1):89-94
XJW20, a novel oxoindole derivative, induces G2/M arrest and apoptosis selectively in K562 leukemia cell line.
Ye Z, Chen Z, Chen W, Xie J, Yang H, Lou Y, Yu Y
Chemico-biological interactions 2010 Jan 5;183(1):133-41
Chemico-biological interactions 2010 Jan 5;183(1):133-41
No comments: Submit comment
Supportive validation
- Submitted by
- Boster Biological Technology (provider)
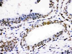
- Main image

- Experimental details
- Anti- CDK1 Picoband antibody, PB9533, IHC(P)IHC(P): Human Mammary Cancer Tissue
- Additional image
