Antibody data
- Antibody Data
- Antigen structure
- References [0]
- Comments [0]
- Validations
- Immunohistochemistry [6]
Submit
Validation data
Reference
Comment
Report error
- Product number
- PA5-63119 - Provider product page

- Provider
- Invitrogen Antibodies
- Product name
- ZNF214 Polyclonal Antibody
- Antibody type
- Polyclonal
- Antigen
- Recombinant protein fragment
- Description
- Immunogen sequence: CGCNKCKGIY YWNSRCVFHK RNQPGENLCQ CSIRKACFSQ RSDLYRHPRN HIGKKLYGCD EVDGNFHQSS GVHFH Highest antigen sequence identity to the following orthologs: Mouse - 39%, Rat - 40%.
- Reactivity
- Human
- Host
- Rabbit
- Isotype
- IgG
- Vial size
- 100 μL
- Concentration
- Lot-Specific
- Storage
- Store at 4°C short term. For long term storage, store at -20°C, avoiding freeze/thaw cycles.
No comments: Submit comment
Supportive validation
- Submitted by
- Invitrogen Antibodies (provider)
- Main image

- Experimental details
- Immunohistochemical analysis of ZNF214 in human lymph node using ZNF214 Polyclonal Antibody (Product # PA5-63119) shows no positivity in germinal center cells as expected.
- Submitted by
- Invitrogen Antibodies (provider)
- Main image

- Experimental details
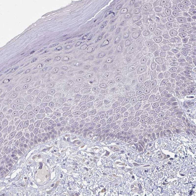
- Immunohistochemical analysis of ZNF214 in human skin using ZNF214 Polyclonal Antibody (Product # PA5-63119) shows no positivity in squamous epithelial cells as expected.
- Submitted by
- Invitrogen Antibodies (provider)
- Main image

- Experimental details
- Immunohistochemical analysis of ZNF214 in human salivary gland using ZNF214 Polyclonal Antibody (Product # PA5-63119) shows strong cytoplasmic positivity in glandular cells.
- Submitted by
- Invitrogen Antibodies (provider)
- Main image

- Experimental details
- Immunohistochemical analysis of ZNF214 in human rectum using ZNF214 Polyclonal Antibody (Product # PA5-63119) shows weak cytoplasmic positivity in glandular cells.
- Submitted by
- Invitrogen Antibodies (provider)
- Main image

- Experimental details
- Immunohistochemical analysis of ZNF214 in human skin using ZNF214 Polyclonal Antibody (Product # PA5-63119) shows no positivity in squamous epithelial cells as expected.
- Submitted by
- Invitrogen Antibodies (provider)
- Main image

- Experimental details
- Immunohistochemical analysis of ZNF214 in human rectum using ZNF214 Polyclonal Antibody (Product # PA5-63119) shows weak cytoplasmic positivity in glandular cells.