Antibody data
- Antibody Data
- Antigen structure
- References [0]
- Comments [0]
- Validations
- Western blot [2]
- Immunocytochemistry [1]
- Immunohistochemistry [1]
Submit
Validation data
Reference
Comment
Report error
- Product number
- ABIN615468 - Provider product page 
- Provider
- antibodies-online
- Product name
- anti-Excision Repair Cross-Complementing Rodent Repair Deficiency, Complementation Group 8 (ERCC8) (AA 106-300) antibody
- Antibody type
- Polyclonal
- Description
- Immunoaffinity Chromatography
- Reactivity
- Human
- Host
- Rabbit
- Epitope
- AA 106-300
- Vial size
- 50 μL
- Storage
- Store (in aliquots) at -20°C. Dilute only prior to immediate use.
- Handling
- Avoid repeated freezing and thawing.
				No comments: Submit comment	
	
			
							
					Supportive validation
					
									
				
				- Submitted by
- antibodies-online (provider)
- Main image
 
- Experimental details
- WB
- Submitted by
- antibodies-online (provider)
- Main image
 
- Experimental details
- WB
							
					Supportive validation
					
									
				
				- Submitted by
- antibodies-online (provider)
- Main image
 
- Experimental details
- Immunofluorescence analysis of paraformaldehyde-fixed A431, using ERCC8 (CSA) antibody at 1:200 dilution.
							
					Supportive validation
					
									
				
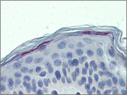
		- Submitted by
- antibodies-online (provider)
- Main image
 
- Experimental details
- IHC