Antibody data
- Antibody Data
- Antigen structure
- References [0]
- Comments [0]
- Validations
- Western blot [1]
- Immunohistochemistry [1]
Submit
Validation data
Reference
Comment
Report error
- Product number
- AP11947PU-N - Provider product page

- Provider
- Acris Antibodies GmbH
- Proper citation
- Acris Antibodies GmbH Cat#AP11947PU-N, RRID:AB_1748706
- Product name
- anti ARIH1 / UBCH7BP (C-term)
- Antibody type
- Polyclonal
- Antigen
- KLH conjugated synthetic peptide between 525~555 amino acids from the C-terminal region of human UbcH7-BP
- Reactivity
- Human
- Host
- Rabbit
- Vial size
- 0.1 mg
- Concentration
- 0.25 mg/ml
No comments: Submit comment
Supportive validation
- Submitted by
- Acris Antibodies GmbH (provider)
- Main image

- Experimental details
- Western blot analysis of UbcH7(arrow) using rabbit polyclonal UbcH7-BP Antibody (C-term) Cat.-No AP11947PU-N. 293 cell lysates (2 ug/lane) either nontransfected (Lane 1) or transiently transfected with the ARIH1 gene (Lane 2) (Origene Technologies).
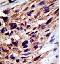
Supportive validation
- Submitted by
- Acris Antibodies GmbH (provider)
- Main image

- Experimental details
- Formalin-fixed and paraffin-embedded human cancer tissue reacted with the primary antibody, which was peroxidase-conjugated to the secondary antibody, followed by DAB staining. This data demonstrates the use of this antibody for immunohistochemistry; clinical relevance has not been evaluated.