Antibody data
- Antibody Data
- Antigen structure
- References [0]
- Comments [0]
- Validations
- Western blot [2]
- Immunohistochemistry [1]
Submit
Validation data
Reference
Comment
Report error
- Product number
- NBP1-80070 - Provider product page

- Provider
- Novus Biologicals
- Proper citation
- Novus Cat#NBP1-80070, RRID:AB_11034252
- Product name
- Rabbit Polyclonal VDAC3 Antibody
- Antibody type
- Polyclonal
- Description
- Immunogen affinity purified.
- Reactivity
- Human
- Host
- Rabbit
- Isotype
- IgG
- Vial size
- 100 ul
- Storage
- Store at -20C. Avoid freeze-thaw cycles.
No comments: Submit comment
Supportive validation
- Submitted by
- Novus Biologicals (provider)
- Main image

- Experimental details
- Western Blot: VDAC3 Antibody [NBP1-80070] - Human Heart lysate, concentration 0.2-1 ug/ml.
- Submitted by
- Novus Biologicals (provider)
- Main image

- Experimental details
- Western Blot: VDAC3 Antibody [NBP1-80070] - Human Fetal Muscle, Antibody Dilution: 1.0 ug/ml.
Supportive validation
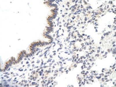
- Submitted by
- Novus Biologicals (provider)
- Main image

- Experimental details
- Immunohistochemistry: VDAC3 Antibody [NBP1-80070] - Human Lung cell Cellular data: Epithelial cells of renal tubule Antibody Concentration: 4.0-8.0 ug/ml Magnification: 400X.