Antibody data
- Antibody Data
 - Antigen structure
 - References [0]
 - Comments [0]
 - Validations
 - Western blot [1]
 - Immunohistochemistry [6]
 
Submit
Validation data
Reference
Comment
Report error
- Product number
 - TA808671 - Provider product page

 - Provider
 - OriGene
 - Product name
 - CWC27 mouse monoclonal antibody, clone OTI2D1 (formerly 2D1)
 - Antibody type
 - Monoclonal
 - Description
 - CWC27 mouse monoclonal antibody, clone OTI2D1 (formerly 2D1)
 - Host
 - Mouse
 - Conjugate
 - Unconjugated
 - Epitope
 - CWC27
 - Isotype
 - IgG
 - Antibody clone number
 - OTI2D1
 - Vial size
 - 100 µl
 - Concentration
 - 1.00mg/ml
 
				No comments: Submit comment	
	
			
							
					Supportive validation
					
									
				
				- Submitted by
 - OriGene (provider)
 - Main image
 
- Experimental details
 - HEK293T cells were transfected with the pCMV6-ENTRY control (Left lane) or pCMV6-ENTRY CWC27 (RC223566, Right lane) cDNA for 48 hrs and lysed. Equivalent amounts of cell lysates (5 ug per lane) were separated by SDS-PAGE and immunoblotted with anti-CWC27.
 - Validation comment
 - WB
 
							
					Supportive validation
					
									
				
		- Submitted by
 - OriGene (provider)
 - Main image
 
- Experimental details
 - Immunohistochemical staining of paraffin-embedded Human colon tissue within the normal limits using anti-CWC27 mouse monoclonal antibody. (Heat-induced epitope retrieval by 1mM EDTA in 10mM Tris buffer (pH8.5) at 120?°C for 3 min, TA808671)(1:150)
 - Validation comment
 - IHC
 
- Submitted by
 - OriGene (provider)
 - Main image
 
- Experimental details
 - Immunohistochemical staining of paraffin-embedded Carcinoma of Human kidney tissue using anti-CWC27 mouse monoclonal antibody.(Heat-induced epitope retrieval by 1mM EDTA in 10mM Tris buffer (pH8.5) at 120°C for 3 min, TA808671)(1:150)
 - Validation comment
 - IHC
 
- Submitted by
 - OriGene (provider)
 - Main image
 
- Experimental details
 - Immunohistochemical staining of paraffin-embedded Human lung tissue within the normal limits using anti-CWC27 mouse monoclonal antibody.(Heat-induced epitope retrieval by 1mM EDTA in 10mM Tris buffer (pH8.5) at 120?°C for 3 min, TA808671)(1:150)
 - Validation comment
 - IHC
 
- Submitted by
 - OriGene (provider)
 - Main image
 
- Experimental details
 - Immunohistochemical staining of paraffin-embedded Adenocarcinoma of Human ovary tissue using anti-CWC27 mouse monoclonal antibody.(Heat-induced epitope retrieval by 1mM EDTA in 10mM Tris buffer (pH8.5) at 120°C for 3 min, TA808671)(1:150)
 - Validation comment
 - IHC
 
- Submitted by
 - OriGene (provider)
 - Main image
 
- Experimental details
 - Immunohistochemical staining of paraffin-embedded Human prostate tissue within the normal limits using anti-CWC27 mouse monoclonal antibody. (Heat-induced epitope retrieval by 1mM EDTA in 10mM Tris buffer (pH8.5) at 120?°C for 3 min, TA808671)(1:150)
 - Validation comment
 - IHC
 
- Submitted by
 - OriGene (provider)
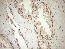
 - Main image
 
- Experimental details
 - Immunohistochemical staining of paraffin-embedded Carcinoma of Human prostate tissue using anti-CWC27 mouse monoclonal antibody.(Heat-induced epitope retrieval by 1mM EDTA in 10mM Tris buffer (pH8.5) at 120°C for 3 min, TA808671)(1:150)
 - Validation comment
 - IHC