Antibody data
- Antibody Data
- Antigen structure
- References [0]
- Comments [0]
- Validations
- Immunohistochemistry [2]
- Flow cytometry [2]
Submit
Validation data
Reference
Comment
Report error
- Product number
- MA5-44926 - Provider product page
- Provider
- Invitrogen Antibodies
- Product name
- C1QBP Monoclonal Antibody (A8F4)
- Antibody type
- Monoclonal
- Antigen
- Recombinant full-length protein
- Reactivity
- Human, Mouse, Rat
- Host
- Mouse
- Isotype
- IgG
- Antibody clone number
- A8F4
- Vial size
- 100 µL
- Concentration
- 1.17 mg/mL
- Storage
- Store at 4°C short term. For long term storage, store at -20°C, avoiding freeze/thaw cycles.
No comments: Submit comment
Supportive validation
- Submitted by
- Invitrogen Antibodies (provider)
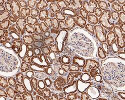
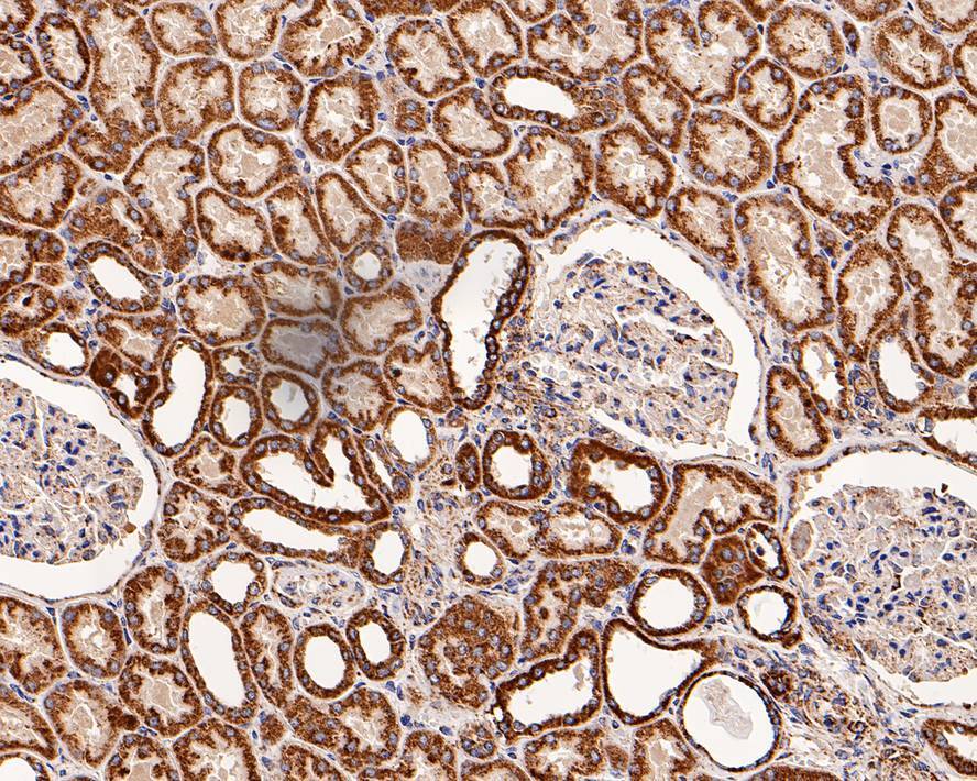
- Main image
- Experimental details
- Immunohistochemistry analysis of GC1q R in paraffin-embedded human kidney tissue. The section was pre-treated using heat mediated antigen retrieval with Tris-EDTA buffer (pH 9.0) for 20 minutes. The tissues were blocked in 1% BSA for 20 minutes at room temperature, washed with ddH2O and PBS, and then probed with GC1q R Monoclonal antibody (Product # MA5-44926) using a dilution of 1:1,200 for 1 hour at room temperature. The detection was performed using an HRP conjugated compact polymer system. DAB was used as the chromogen. Tissues were counterstained with hematoxylin and mounted with DPX.
- Submitted by
- Invitrogen Antibodies (provider)
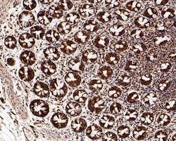
- Main image
- Experimental details
- Immunohistochemistry analysis of GC1q R in paraffin-embedded human large intestine tissue. The section was pre-treated using heat mediated antigen retrieval with Tris-EDTA buffer (pH 9.0) for 20 minutes. The tissues were blocked in 1% BSA for 20 minutes at room temperature, washed with ddH2O and PBS, and then probed with GC1q R Monoclonal antibody (Product # MA5-44926) using a dilution of 1:1,200 for 1 hour at room temperature. The detection was performed using an HRP conjugated compact polymer system. DAB was used as the chromogen. Tissues were counterstained with hematoxylin and mounted with DPX.
Supportive validation
- Submitted by
- Invitrogen Antibodies (provider)
- Main image
- Experimental details
- Flow cytometry of GC1q R in A549 cells. Cells were fixed and permeabilized then stained with GC1q R Monoclonal antibody (Product # MA5-44926) using a dilution of 1 µg/mL (red) at 4℃ for an hour followed by iFluor™ 488 conjugate-Goat anti-Mouse IgG secondary antibody at a dilution of 1:1,000 for 30 minutes at 4℃. Mouse IgG1 Isotype Control (green). Unlabeled sample was used as a control (cells without incubation with primary antibody; black).
- Submitted by
- Invitrogen Antibodies (provider)
- Main image
- Experimental details
- Flow cytometry of GC1q R in A549 cells. Cells were fixed and permeabilized then stained with GC1q R Monoclonal antibody (Product # MA5-44926) using a dilution of 1 µg/mL (red) at 4℃ for an hour followed by iFluor™ 488 conjugate-Goat anti-Mouse IgG secondary antibody at a dilution of 1:1,000 for 30 minutes at 4℃. Mouse IgG1 Isotype Control (green). Unlabeled sample was used as a control (cells without incubation with primary antibody; black).