Antibody data
- Antibody Data
- Antigen structure
- References [0]
- Comments [0]
- Validations
- Western blot [1]
- Immunohistochemistry [1]
Submit
Validation data
Reference
Comment
Report error
- Product number
- TA339270 - Provider product page

- Provider
- OriGene
- Product name
- Rabbit Polyclonal Anti-DFNA5 Antibody
- Antibody type
- Polyclonal
- Description
- Rabbit Polyclonal Anti-DFNA5 Antibody
- Host
- Rabbit
- Conjugate
- Unconjugated
- Epitope
- GSDME
- Isotype
- IgG
- Antibody clone number
- NULL
- Vial size
- 100 µl
- Concentration
- 1mg/mL
No comments: Submit comment
Supportive validation
- Submitted by
- OriGene (provider)
- Main image

- Experimental details
- WB Suggested Anti-DFNA5 Antibody Titration: 1.25 ug/ml; Positive Control: HepG2 cell lysate.DFNA5 is supported by BioGPS gene expression data to be expressed in HepG2
- Validation comment
- WB
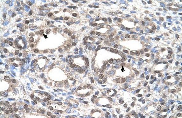
Supportive validation
- Submitted by
- OriGene (provider)
- Main image

- Experimental details
- Human kidney
- Validation comment
- IHC