Antibody data
- Antibody Data
- Antigen structure
- References [1]
- Comments [0]
- Validations
- Western blot [1]
- Immunohistochemistry [1]
Submit
Validation data
Reference
Comment
Report error
- Product number
- NBP1-49973 - Provider product page

- Provider
- Novus Biologicals
- Proper citation
- Novus Cat#NBP1-49973, RRID:AB_10012163
- Product name
- Rabbit Polyclonal RNGTT Antibody
- Antibody type
- Polyclonal
- Description
- Immunogen affinity purified.
- Reactivity
- Human, Mouse
- Host
- Rabbit
- Isotype
- IgG
- Vial size
- 0.1 ml
- Concentration
- 0.2 mg/ml
- Storage
- Store at 4C. Do not freeze.
Submitted references The cytoplasmic capping complex assembles on adapter protein nck1 bound to the proline-rich C-terminus of Mammalian capping enzyme.
Mukherjee C, Bakthavachalu B, Schoenberg DR
PLoS biology 2014 Aug;12(8):e1001933
PLoS biology 2014 Aug;12(8):e1001933
No comments: Submit comment
Supportive validation
- Submitted by
- Novus Biologicals (provider)
- Main image

- Experimental details
- Western Blot: RNGTT Antibody [NBP1-49973] - Detection of Human and Mouse RNGTT by Western Blot (h&m) and Immunoprecipitation (h). Samples: Whole cell lysate from HeLa (5, 15 and 50 mcg for WB; 1 mg for IP, 20% of IP loaded), 293T (T; 50 mcg), and mouse NIH3T3 (M; 50 mcg) cells. Antibodies: Affinity purified rabbit anti-RNGTT antibody used for WB at 0.04 mcg/ml (A) and 0.4 mcg/ml (B) and used for IP at 3 mcg/mg lysate. RNGTT was also immunoprecipitated by rabbit anti-RNGTT antibody which recognizes an upstream epitope. For blotting immunoprecipitated RNGTT was used. Detection: Chemiluminescence with exposure times of 3 minutes (A) and 30 seconds (B).
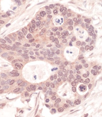
Supportive validation
- Submitted by
- Novus Biologicals (provider)
- Main image

- Experimental details
- Immunohistochemistry-Paraffin: RNGTT Antibody [NBP1-49973] - Section of human ovarian carcinoma. Antibody: Affinity purified rabbit anti- RNGTT used at a dilution of 1:200 (1ug/ml). Detection: Vector Laboratories ImmPACT NovaRED Peroxidase Substrate.