Antibody data
- Antibody Data
- Antigen structure
- References [0]
- Comments [0]
- Validations
- Western blot [1]
- Immunocytochemistry [1]
- Immunohistochemistry [1]
Submit
Validation data
Reference
Comment
Report error
- Product number
- PAB28616 - Provider product page

- Provider
- Abnova Corporation
- Product name
- TIMM9 polyclonal antibody
- Antibody type
- Polyclonal
- Description
- Rabbit polyclonal antibody raised against recombinant TIMM9.
- Antigen sequence
AAQIPESDQIKQFKEFLGTYNKLTETCFLDCVKDF
TTREVKPEETTCSEHCLQKYLKMTQRISMRFQEYH
IQQNEALAAKAGLLGQPR- Isotype
- IgG
- Storage
- Store at 4°C. For long term storage store at -20°C.Aliquot to avoid repeated freezing and thawing.
No comments: Submit comment
Supportive validation
- Submitted by
- Abnova Corporation (provider)
- Main image

- Experimental details
- Western blot analysis of Lane 1: Human cell line RT-4, Lane 2: Human cell line U-251MG sp with TIMM9 polyclonal antibody (Cat # PAB28616) at 1:100-1:250 dilution.
Supportive validation
- Submitted by
- Abnova Corporation (provider)
- Main image

- Experimental details
- Immunofluorescent staining of human cell line U-251MG with TIMM9 polyclonal antibody (Cat # PAB28616) at 1-4 ug/ml shows positivity in mitochondria.
- Validation comment
- Immunofluorescence
Supportive validation
- Submitted by
- Abnova Corporation (provider)
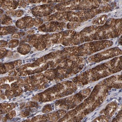
- Main image

- Experimental details
- Immunohistochemical staining of human stomach with TIMM9 polyclonal antibody (Cat # PAB28616) shows strong cytoplasmic positivity in glandular cells at 1:10-1:20 dilution.
- Validation comment
- Immunohistochemistry (Formalin/PFA-fixed paraffin-embedded sections)