Antibody data
- Antibody Data
- Antigen structure
- References [0]
- Comments [0]
- Validations
- Western blot [1]
- Immunohistochemistry [1]
Submit
Validation data
Reference
Comment
Report error
- Product number
- NBP1-86924 - Provider product page

- Provider
- Novus Biologicals
- Proper citation
- Novus Cat#NBP1-86924, RRID:AB_11019354
- Product name
- Rabbit Polyclonal FAIM3 Antibody
- Antibody type
- Polyclonal
- Description
- Immunogen affinity purified. Specificity of human FAIM3 antibody verified on a Protein Array containing target protein plus 383 other non-specific proteins.
- Reactivity
- Human
- Host
- Rabbit
- Isotype
- IgG
- Vial size
- 0.1 ml
- Storage
- Store at 4C short term. Aliquot and store at -20C long term. Avoid freeze-thaw cycles.
No comments: Submit comment
Supportive validation
- Submitted by
- Novus Biologicals (provider)
- Main image

- Experimental details
- Western Blot: FAIM3 Antibody [NBP1-86924] - Analysis in control (vector only transfected HEK293T lysate) and FAIM3 over-expression lysate (Co-expressed with a C-terminal myc-DDK tag (3.1 kDa) in mammalian HEK293T cells).
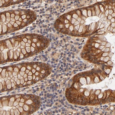
Supportive validation
- Submitted by
- Novus Biologicals (provider)
- Main image

- Experimental details
- Immunohistochemistry-Paraffin: FAIM3 Antibody [NBP1-86924] - Staining of human colon shows strong cytoplasmic positivity in glandular cells.