Antibody data
- Antibody Data
- Antigen structure
- References [0]
- Comments [0]
- Validations
- Western blot [1]
- Immunohistochemistry [1]
Submit
Validation data
Reference
Comment
Report error
- Product number
- ARP34717_P050 - Provider product page

- Provider
- Aviva Systems Biology
- Proper citation
- Aviva Systems Biology Cat#ARP34717_P050, RRID:AB_461192
- Product name
- TRIM31 antibody - N-terminal region (ARP34717_P050)
- Antibody type
- Polyclonal
- Antigen
- The immunogen is a synthetic peptide directed towards the N terminal region of human TRIM31
- Description
- Affinity Purified
- Reactivity
- Human, Mouse, Bovine, Rabbit
- Host
- Rabbit
- Vial size
- 100 μl
- Concentration
- Liquid. Purified antibody supplied in 1x PBS buffer with 0.09% (w/v) sodium azide and 2% sucrose.
- Storage
- For short term use, store at 2-8C up to 1 week. For long term storage, store at -20C in small aliquots to prevent freeze-thaw cycles.
No comments: Submit comment
Supportive validation
- Submitted by
- Aviva Systems Biology (provider)
- Main image

- Experimental details
- Western blot analysis using Anti-TRIM31 antibody detects protein at predicted molecular weight using Hepg2 Cells as a positive control. Tissue/Lysate Concentration: 0.25ug/ml Antibody Concentration: 1.0ug/ml
- Sample type
- Hepg2 Cells
- Validation comment
- Western blot analysis detects protein at predicted molecular weight
- Primary Ab dilution
- 1.0ug/ml
- Other comments
- Lysate concentration 0.25ug/ml
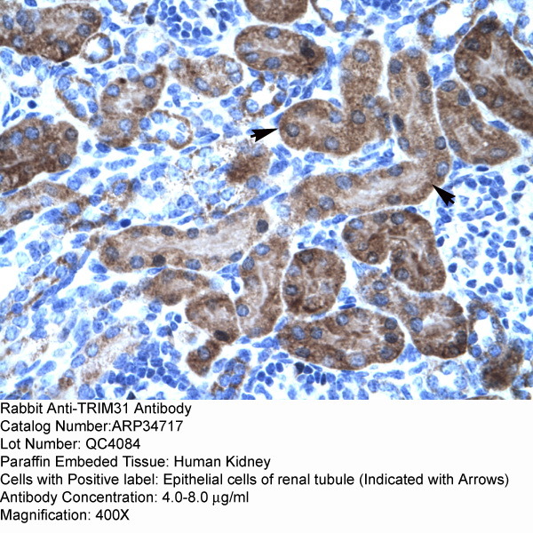
Supportive validation
- Submitted by
- Aviva Systems Biology (provider)
- Main image

- Experimental details
- Immunohistochemistry staining of Human Kidney with Anti-TRIM31 antibody
- Sample type
- Human Kidney
- Validation comment
- This location is supported by literature
- Primary Ab dilution
- 4.0-8.2624
- Secondary Ab
- Secondary Ab
- Secondary Ab dilution
- 0.5ug/mL 0.2ug/mL
- Protocol
- Protocol