Antibody data
- Antibody Data
- Antigen structure
- References [0]
- Comments [0]
- Validations
- Western blot [1]
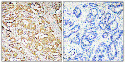
- Immunohistochemistry [1]
Submit
Validation data
Reference
Comment
Report error
- Product number
- ABIN1851348 - Provider product page

- Provider
- antibodies-online
- Product name
- anti-Fucosyltransferase 3 (Galactoside 3(4)-L-Fucosyltransferase, Lewis Blood Group) (FUT3) (Internal Region) antibody
- Antibody type
- Polyclonal
- Antigen
- The antiserum was produced against synthesized peptide derived from internal of human FUT3.
- Description
- The antibody was affinity-purified from rabbit antiserum by affinity-chromatography using epitope-specific immunogen.
- Reactivity
- Human
- Host
- Rabbit
- Epitope
- Internal Region
- Vial size
- 100 μg
- Storage
- Aliquot and store at -20°C. Stable for 12 months from date of receipt.
No comments: Submit comment
Supportive validation
- Submitted by
- antibodies-online (provider)
- Main image

- Experimental details
- Image(s): Western Blotting
Supportive validation
- Submitted by
- antibodies-online (provider)
- Main image

- Experimental details
- Image(s): Immunohistochemistry