Antibody data
- Antibody Data
- Antigen structure
- References [1]
- Comments [0]
- Validations
- Western blot [1]
- Immunohistochemistry [6]
Submit
Validation data
Reference
Comment
Report error
- Product number
- NBP1-86024 - Provider product page

- Provider
- Novus Biologicals
- Proper citation
- Novus Cat#NBP1-86024, RRID:AB_11014839
- Product name
- Rabbit Polyclonal HINT2 Antibody
- Antibody type
- Polyclonal
- Description
- Immunogen affinity purified. Specificity of human HINT2 antibody verified on a Protein Array containing target protein plus 383 other non-specific proteins.
- Reactivity
- Human
- Host
- Rabbit
- Isotype
- IgG
- Vial size
- 0.1 ml
- Storage
- Store at 4C short term. Aliquot and store at -20C long term. Avoid freeze-thaw cycles.
Submitted references HINT2 triggers mitochondrial Ca2+ influx by regulating the mitochondrial Ca2+ uniporter (MCU) complex and enhances gemcitabine apoptotic effect in pancreatic cancer.
Chen L, Sun Q, Zhou D, Song W, Yang Q, Ju B, Zhang L, Xie H, Zhou L, Hu Z, Yao H, Zheng S, Wang W
Cancer letters 2017 Dec 28;411:106-116
Cancer letters 2017 Dec 28;411:106-116
No comments: Submit comment
Supportive validation
- Submitted by
- Novus Biologicals (provider)
- Main image

- Experimental details
- Western Blot: HINT2 Antibody [NBP1-86024] - Analysis in human cell line PC-3.
Supportive validation
- Submitted by
- Novus Biologicals (provider)
- Main image

- Experimental details
- Immunohistochemistry-Paraffin: HINT2 Antibody [NBP1-86024] - Staining of human kidney shows strong cytoplasmic positivity in tubule cells.
- Submitted by
- Novus Biologicals (provider)
- Main image

- Experimental details
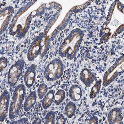
- Immunohistochemistry-Paraffin: HINT2 Antibody [NBP1-86024] - Staining of human duodenum shows strong granular cytoplasmic positivity in glandular cells.
- Submitted by
- Novus Biologicals (provider)
- Main image

- Experimental details
- Immunohistochemistry-Paraffin: HINT2 Antibody [NBP1-86024] - Staining of human fallopian tube shows moderate granular cytoplasmic positivity in glandular cells.
- Submitted by
- Novus Biologicals (provider)
- Main image

- Experimental details
- Immunohistochemistry-Paraffin: HINT2 Antibody [NBP1-86024] - Staining of human fallopian tube, gastrointestinal, kidney and testis using Anti-HINT2 antibody NBP1-86024 (A) shows similar protein distribution across tissues to independent antibody NBP2-56156 (B).
- Submitted by
- Novus Biologicals (provider)
- Main image

- Experimental details
- Immunohistochemistry-Paraffin: HINT2 Antibody [NBP1-86024] - Staining of human kidney shows strong granular cytoplasmic positivity in cells in tubules.
- Submitted by
- Novus Biologicals (provider)
- Main image

- Experimental details
- Immunohistochemistry-Paraffin: HINT2 Antibody [NBP1-86024] - Staining of human testis shows strong granular cytoplasmic positivity in Leydig cells.