Antibody data
- Antibody Data
- Antigen structure
- References [0]
- Comments [0]
- Validations
- Western blot [1]
- Immunohistochemistry [1]
Submit
Validation data
Reference
Comment
Report error
- Product number
- TA350728 - Provider product page

- Provider
- OriGene
- Product name
- Rabbit Polyclonal Anti-ACADVL Antibody
- Antibody type
- Polyclonal
- Description
- Rabbit Polyclonal Anti-ACADVL Antibody
- Host
- Rabbit
- Conjugate
- Unconjugated
- Epitope
- ACADVL
- Isotype
- IgG
- Antibody clone number
- NULL
- Vial size
- 100 µl
- Concentration
- 0.9 mg/ml
No comments: Submit comment
Supportive validation
- Submitted by
- OriGene (provider)
- Main image

- Experimental details
- Gel: 8%SDS-PAGE, Lysate: 40 ug, Lane: Hela cells, Primary antibody: (ACADVL Antibody) at dilution 1/200, Secondary antibody: Goat anti rabbit IgG at 1/8000 dilution, Exposure time: 5 seconds
- Validation comment
- WB
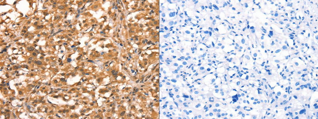
Supportive validation
- Submitted by
- OriGene (provider)
- Main image

- Experimental details
- The image on the left is immunohistochemistry of paraffin-embedded Human thyroid cancer tissue using (ACADVL Antibody) at dilution 1/15, on the right is treated with synthetic peptide. (Original magnification: ?200)
- Validation comment
- IHC