Antibody data
- Antibody Data
- Antigen structure
- References [0]
- Comments [0]
- Validations
- Western blot [1]
- Immunohistochemistry [2]
Submit
Validation data
Reference
Comment
Report error
- Product number
- LS-C199731 - Provider product page

- Provider
- LSBio
- Product name
- WASF1 / WAVE Antibody (phospho-Tyr125) LS-C199731
- Antibody type
- Polyclonal
- Description
- Immunoaffinity purified
- Reactivity
- Human, Mouse, Rat
- Host
- Rabbit
- Isotype
- IgG
- Storage
- Store at -20°C.
No comments: Submit comment
Enhanced validation
- Submitted by
- LSBio (provider)
- Enhanced method
- Genetic validation
- Main image

- Experimental details
- Western blot analysis of lysates from NIH/3T3 cells treated with Insulin 0.01U/ml 15', using WAVE1 (Phospho-Tyr125) Antibody. The lane on the right is blocked with the phospho peptide.
Supportive validation
- Submitted by
- LSBio (provider)
- Enhanced method
- Genetic validation
- Main image

- Experimental details
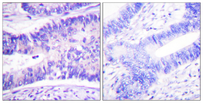
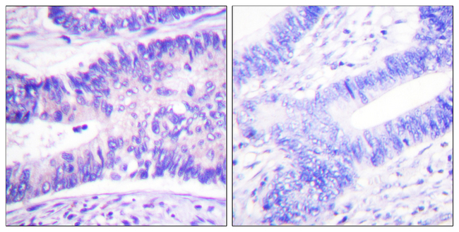
- Immunohistochemistry analysis of paraffin-embedded human colon carcinoma, using WAVE1 (Phospho-Tyr125) Antibody. The picture on the right is blocked with the phospho peptide.
- Submitted by
- LSBio (provider)
- Enhanced method
- Genetic validation
- Main image

- Experimental details
- Immunohistochemistry analysis of paraffin-embedded human colon carcinoma, using WAVE1 (Phospho-Tyr125) Antibody. The picture on the right is blocked with the phospho peptide.