Antibody data
- Antibody Data
- Antigen structure
- References [0]
- Comments [0]
- Validations
- Western blot [1]
- Immunohistochemistry [1]
Submit
Validation data
Reference
Comment
Report error
- Product number
- AP06594PU-N - Provider product page

- Provider
- Acris Antibodies GmbH
- Proper citation
- Acris Antibodies GmbH Cat#AP06594PU-N, RRID:AB_1624554
- Product name
- anti WASF1 / WAVE1
- Antibody type
- Polyclonal
- Antigen
- Synthetic peptide, corresponding to amino acids 88-132 of Human WAVE1.
- Reactivity
- Human, Mouse
- Host
- Rabbit
- Vial size
- 0.1 mg
- Concentration
- 1.0 mg/ml
No comments: Submit comment
Supportive validation
- Submitted by
- Acris Antibodies GmbH (provider)
- Main image

- Experimental details
- Western blot (WB) analysis of WAVE1 antibody (Cat.-No.: AP06594PU-N) in extracts from hela cells.
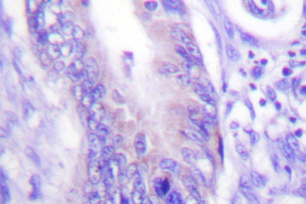
Supportive validation
- Submitted by
- Acris Antibodies GmbH (provider)
- Main image

- Experimental details
- Immunohistochemistry (IHC) analyzes of WAVE1 antibody (Cat.-No.: AP06594PU-N) in paraffin-embedded human colon carcinoma brain tissue.