Antibody data
- Antibody Data
- Antigen structure
- References [0]
- Comments [0]
- Validations
- Western blot [1]
- Immunohistochemistry [4]
Submit
Validation data
Reference
Comment
Report error
- Product number
- GTX115287 - Provider product page

- Provider
- GeneTex
- Proper citation
- GeneTex Cat#GTX115287, RRID:AB_11170624
- Product name
- TOX antibody [N1C1]
- Antibody type
- Polyclonal
- Reactivity
- Human, Mouse, Rat
- Host
- Rabbit
No comments: Submit comment
Supportive validation
- Submitted by
- GeneTex (provider)
- Main image

- Experimental details
- Sample (30 ?g of whole cell lysate) A: THP-1 B: HL-60 7.5% SDS PAGE GTX115287 diluted at 1:1000 The HRP-conjugated anti-rabbit IgG antibody (GTX213110-01) was used to detect the primary antibody.
Supportive validation
- Submitted by
- GeneTex (provider)
- Main image

- Experimental details
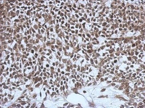
- Immunohistochemical analysis of paraffin-embedded 59T xenograft, using TOX(GTX115287) antibody at 1:500 dilution.
- Submitted by
- GeneTex (provider)
- Main image

- Experimental details
- TOX antibody [N1C1] detects TOX protein at nucleus by immunohistochemical analysis.Sample: Paraffin-embedded mouse lung.TOX stained by TOX antibody [N1C1] (GTX115287) diluted at 1:500.
- Submitted by
- GeneTex (provider)
- Main image

- Experimental details
- TOX antibody [N1C1] detects TOX protein at nucleus by immunohistochemical analysis.Sample: Paraffin-embedded rat liver.TOX stained by TOX antibody [N1C1] (GTX115287) diluted at 1:500.
- Submitted by
- GeneTex (provider)
- Main image

- Experimental details
- TOX antibody [N1C1] detects TOX protein at nucleus by immunohistochemical analysis.Sample: Paraffin-embedded rat lung.TOX stained by TOX antibody [N1C1] (GTX115287) diluted at 1:500.