Antibody data
- Antibody Data
- Antigen structure
- References [0]
- Comments [0]
- Validations
- Western blot [1]
- Immunohistochemistry [6]
Submit
Validation data
Reference
Comment
Report error
- Product number
- NBP1-83662 - Provider product page

- Provider
- Novus Biologicals
- Proper citation
- Novus Cat#NBP1-83662, RRID:AB_11013938
- Product name
- Rabbit Polyclonal LAX1 Antibody
- Antibody type
- Polyclonal
- Description
- Immunogen affinity purified. Specificity of human LAX1 antibody verified on a Protein Array containing target protein plus 383 other non-specific proteins.
- Reactivity
- Human
- Host
- Rabbit
- Isotype
- IgG
- Vial size
- 0.1 ml
- Storage
- Store at 4C short term. Aliquot and store at -20C long term. Avoid freeze-thaw cycles.
No comments: Submit comment
Supportive validation
- Submitted by
- Novus Biologicals (provider)
- Main image

- Experimental details
- Western Blot: LAX1 Antibody [NBP1-83662] - Lane 1: Marker [kDa] 230, 130, 95, 72, 56, 36, 28, 17, 11Lane 2: Human cell line RT-4Lane 3: Human cell line U-251MG sp
Supportive validation
- Submitted by
- Novus Biologicals (provider)
- Main image

- Experimental details
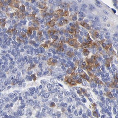
- Immunohistochemistry-Paraffin: LAX1 Antibody [NBP1-83662] - Staining of human tonsil shows cytoplasmic positivity in lymphoid cells outside reaction centra.
- Submitted by
- Novus Biologicals (provider)
- Main image

- Experimental details
- Immunohistochemistry-Paraffin: LAX1 Antibody [NBP1-83662] - Staining of human cerebral cortex, kidney, liver and tonsil using Anti-LAX1 antibody NBP1-83662 (A) shows similar protein distribution across tissues to independent antibody NBP1-83661 (B).
- Submitted by
- Novus Biologicals (provider)
- Main image

- Experimental details
- Immunohistochemistry-Paraffin: LAX1 Antibody [NBP1-83662] - Staining of human kidney.
- Submitted by
- Novus Biologicals (provider)
- Main image

- Experimental details
- Immunohistochemistry-Paraffin: LAX1 Antibody [NBP1-83662] - Staining of human cerebral cortex.
- Submitted by
- Novus Biologicals (provider)
- Main image

- Experimental details
- Immunohistochemistry-Paraffin: LAX1 Antibody [NBP1-83662] - Staining of human tonsil.
- Submitted by
- Novus Biologicals (provider)
- Main image

- Experimental details
- Immunohistochemistry-Paraffin: LAX1 Antibody [NBP1-83662] - Staining of human liver.