22339-1-AP
antibody from Invitrogen Antibodies
Targeting: BTG2
APRO1, MGC126063, MGC126064, PC3, TIS21
Antibody data
- Antibody Data
- Antigen structure
- References [0]
- Comments [0]
- Validations
- Western blot [1]
- Immunohistochemistry [4]
Submit
Validation data
Reference
Comment
Report error
- Product number
- 22339-1-AP - Provider product page

- Provider
- Invitrogen Antibodies
- Product name
- BTG2 Polyclonal Antibody
- Antibody type
- Polyclonal
- Antigen
- Other
- Reactivity
- Human
- Host
- Rabbit
- Isotype
- IgG
- Vial size
- 150 µL
- Concentration
- 0.26 mg/mL
- Storage
- -20°C
No comments: Submit comment
Supportive validation
- Submitted by
- Invitrogen Antibodies (provider)
- Main image

- Experimental details
- Transfected HEK-293 cells were subjected to SDS PAGE followed by western blot with 22339-1-AP ( BTG2 Antibody) at dilution of 1:1000 incubated at room temperature for 1.5 hours.
Supportive validation
- Submitted by
- Invitrogen Antibodies (provider)
- Main image

- Experimental details
- Immunohistochemistry of paraffin-embedded human kidney slide using 22339-1-AP (BTG2 Antibody) at dilution of 1:50.
- Submitted by
- Invitrogen Antibodies (provider)
- Main image

- Experimental details
- Immunohistochemistry of paraffin-embedded human kidney slide using 22339-1-AP (BTG2 Antibody) at dilution of 1:50.
- Submitted by
- Invitrogen Antibodies (provider)
- Main image

- Experimental details
- Immunohistochemistry of paraffin-embedded human small intestine tissue slide using 22339-1-AP ( BTG2 Antibody) at dilution of 1:200 (under 10x lens).
- Submitted by
- Invitrogen Antibodies (provider)
- Main image

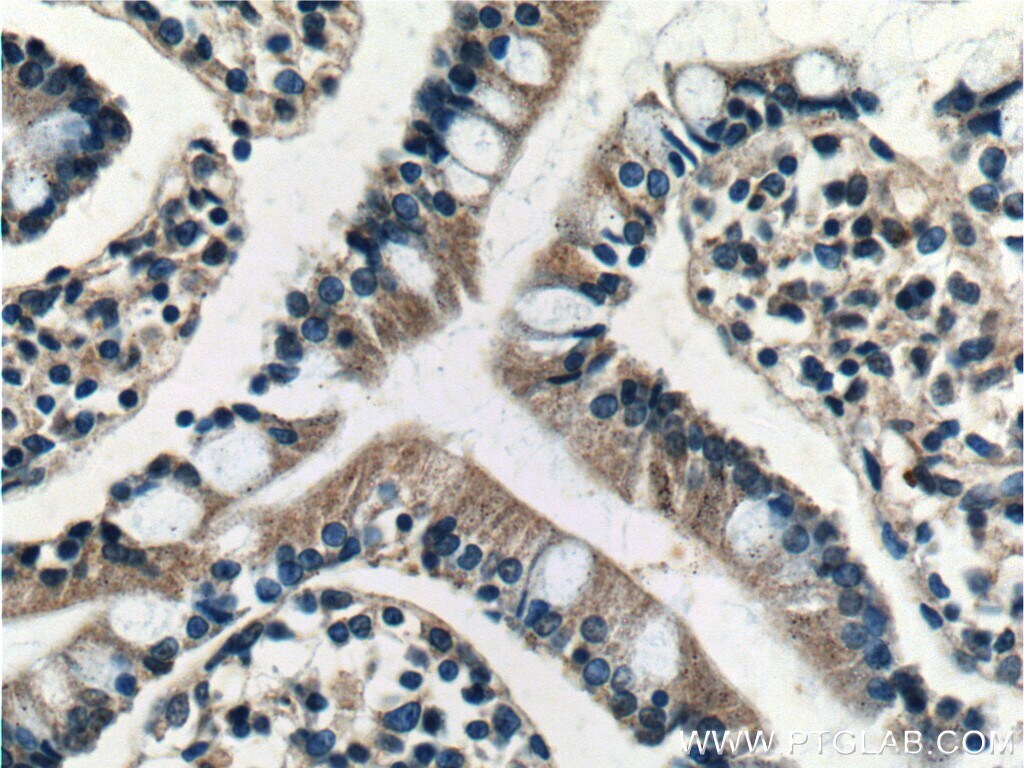
- Experimental details
- Immunohistochemistry of paraffin-embedded human small intestine tissue slide using 22339-1-AP ( BTG2 Antibody) at dilution of 1:200 (under 40x lens).