Antibody data
- Antibody Data
- Antigen structure
- References [0]
- Comments [0]
- Validations
- Western blot [3]
- Immunohistochemistry [4]
Submit
Validation data
Reference
Comment
Report error
- Product number
- 14237-1-AP - Provider product page

- Provider
- Invitrogen Antibodies
- Product name
- DUSP16 Polyclonal Antibody
- Antibody type
- Polyclonal
- Antigen
- Other
- Reactivity
- Human, Mouse, Rat
- Host
- Rabbit
- Isotype
- IgG
- Vial size
- 150 µL
- Concentration
- 0.33 mg/mL
- Storage
- -20°C
No comments: Submit comment
Supportive validation
- Submitted by
- Invitrogen Antibodies (provider)
- Main image

- Experimental details
- HeLa cells were subjected to SDS PAGE followed by western blot with 14237-1-AP (DUSP16 Antibody) at dilution of 1:600 incubated at 4 degree celsius over night.
- Submitted by
- Invitrogen Antibodies (provider)
- Main image

- Experimental details
- PC-12 cells were subjected to SDS PAGE followed by western blot with 14237-1-AP ( DUSP16 Antibody) at dilution of 1:600 incubated at 4 degree celsius over night.
- Submitted by
- Invitrogen Antibodies (provider)
- Main image

- Experimental details
- Mouse brain tissue were subjected to SDS PAGE followed by western blot with 14237-1-AP (DUSP16 Antibody) at dilution of 1:600 incubated at 4 degree celsius over night.
Supportive validation
- Submitted by
- Invitrogen Antibodies (provider)
- Main image

- Experimental details
- Immunohistochemistry of paraffin-embedded human breast cancer tissue slide using 14237-1-AP (DUSP16 Antibody) at dilution of 1:50 (under 10x lens).
- Submitted by
- Invitrogen Antibodies (provider)
- Main image

- Experimental details
- Immunohistochemistry of paraffin-embedded human breast cancer tissue slide using 14237-1-AP (DUSP16 Antibody) at dilution of 1:50 (under 40x lens).
- Submitted by
- Invitrogen Antibodies (provider)
- Main image

- Experimental details
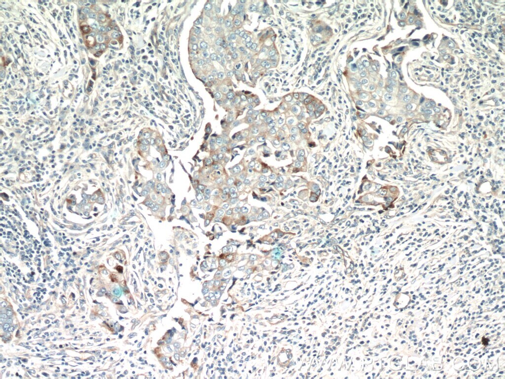
- Immunohistochemistry of paraffin-embedded human colon tissue slide using 14237-1-AP ( DUSP16 Antibody) at dilution of 1:200 (under 10x lens).
- Submitted by
- Invitrogen Antibodies (provider)
- Main image

- Experimental details
- Immunohistochemistry of paraffin-embedded human colon tissue slide using 14237-1-AP ( DUSP16 Antibody) at dilution of 1:200 (under 40x lens).