A12450
antibody from Boster Biological Technology
Targeting: PPP4R3A
FLFL1, FLJ20707, KIAA2010, MSTP033, PP4R3, SMEK1, smk-1, smk1
Antibody data
- Antibody Data
- Antigen structure
- References [0]
- Comments [0]
- Validations
- Immunohistochemistry [1]
Submit
Validation data
Reference
Comment
Report error
- Product number
- A12450 - Provider product page

- Provider
- Boster Biological Technology
- Product name
- Anti-SMEK1 PPP4R3A Antibody
- Antibody type
- Polyclonal
- Description
- Anti-SMEK1 PPP4R3A Antibody validated for WB, IHC. Reactive to Human, Mouse, Rat.
- Reactivity
- Human, Mouse, Rat
- Host
- Rabbit
- Vial size
- 100ul
- Storage
- At -20°C for one year. At 4°C for one month. It can also be aliquoted and stored frozen at -20°C for a longer time. Avoid repeated freezing and thawing.
No comments: Submit comment
Supportive validation
- Submitted by
- Boster Biological Technology (provider)
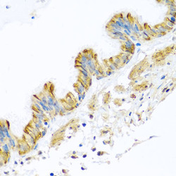
- Main image

- Experimental details
- Immunohistochemistry validation of PPP4R3A using Anti-SMEK1 PPP4R3A Antibody (A12450). Immunohistochemistry of paraffin-embedded human stomach using SMEK1 antibody at dilution of 1:100 (x40 lens). For more protocol information of IHC
- Additional image
