Antibody data
- Antibody Data
 - Antigen structure
 - References [2]
 - Comments [0]
 - Validations
 - Western blot [2]
 - Immunohistochemistry [4]
 
Submit
Validation data
Reference
Comment
Report error
- Product number
 - NBP1-89352 - Provider product page

 - Provider
 - Novus Biologicals
 - Proper citation
 - Novus Cat#NBP1-89352, RRID:AB_11021584
 - Product name
 - Rabbit Polyclonal MACC1 Antibody
 - Antibody type
 - Polyclonal
 - Description
 - Immunogen affinity purified. Specificity of human MACC1 antibody verified on a Protein Array containing target protein plus 383 other non-specific proteins.
 - Reactivity
 - Human
 - Host
 - Rabbit
 - Isotype
 - IgG
 - Vial size
 - 0.1 ml
 - Storage
 - Store at 4C short term. Aliquot and store at -20C long term. Avoid freeze-thaw cycles.
 
Submitted references		Positive MACC1 expression correlates with invasive behaviors and postoperative liver metastasis in colon cancer.
				
Heterogeneity analysis of Metastasis Associated in Colon Cancer 1 (MACC1) for survival prognosis of colorectal cancer patients: a retrospective cohort study.
				
		
	
			Ge Y, Meng X, Zhou Y, Zhang J, Ding Y
International journal of clinical and experimental medicine 2015;8(1):1094-100
		International journal of clinical and experimental medicine 2015;8(1):1094-100
Heterogeneity analysis of Metastasis Associated in Colon Cancer 1 (MACC1) for survival prognosis of colorectal cancer patients: a retrospective cohort study.
			Koelzer VH, Herrmann P, Zlobec I, Karamitopoulou E, Lugli A, Stein U
BMC cancer 2015 Mar 21;15:160
		BMC cancer 2015 Mar 21;15:160
				No comments: Submit comment	
	
			
							
					Supportive validation
					
									
				
				- Submitted by
 - Novus Biologicals (provider)
 - Main image
 
- Experimental details
 - Simple Western: MACC1 Antibody [NBP1-89352] - Simple Western lane view shows a specific band for MACC1 in 0.2 mg/ml of RT-4 lysate. This experiment was performed under reducing conditions using the 12-230 kDa separation system.
 
- Submitted by
 - Novus Biologicals (provider)
 - Main image
 
- Experimental details
 - Simple Western: MACC1 Antibody [NBP1-89352] - Electropherogram image(s) of corresponding Simple Western lane view. MACC1 antibody was used at 1:20 dilution on RT-4 lysate(s).
 
							
					Supportive validation
					
									
				
		- Submitted by
 - Novus Biologicals (provider)
 - Main image
 
- Experimental details
 - Immunohistochemistry-Paraffin: MACC1 Antibody [NBP1-89352] - Immunohistochemical staining of human colorectal cancer shows moderate to strong cytoplasmic positivity in tumor cells.
 
- Submitted by
 - Novus Biologicals (provider)
 - Main image
 
- Experimental details
 - Immunohistochemistry-Paraffin: MACC1 Antibody [NBP1-89352] - Immunohistochemical staining of human kidney shows moderate cytoplasmic positivity in renal tubules cells.
 
- Submitted by
 - Novus Biologicals (provider)
 - Main image
 
- Experimental details
 - Immunohistochemistry-Paraffin: MACC1 Antibody [NBP1-89352] - Immunohistochemical staining of human stomach cancer shows moderate cytoplasmic positivity in tumor cells.
 
- Submitted by
 - Novus Biologicals (provider)
 - Main image
 
- Experimental details
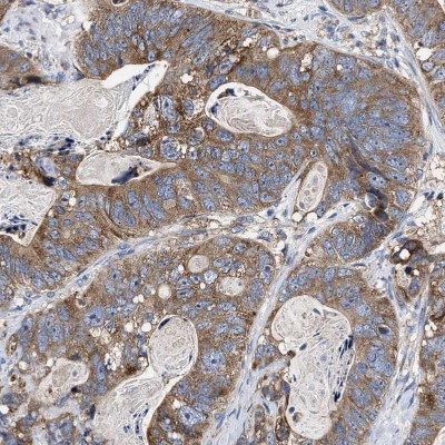
 - Immunohistochemistry-Paraffin: MACC1 Antibody [NBP1-89352] - Immunohistochemical staining of human colon shows moderate cytoplasmic positivity in glandular cells.