Antibody data
- Antibody Data
 - Antigen structure
 - References [4]
 - Comments [0]
 - Validations
 - Western blot [1]
 - Immunohistochemistry [1]
 
Submit
Validation data
Reference
Comment
Report error
- Product number
 - ABIN500214 - Provider product page

 - Provider
 - antibodies-online
 - Product name
 - anti-Metastasis Associated in Colon Cancer 1 (MACC1) antibody
 - Antibody type
 - Polyclonal
 - Antigen
 - MACC1 antibody was raised against a 17 amino acid peptide near the center of humanMACC1.
 - Reactivity
 - Human, Mouse, Rat
 - Host
 - Rabbit
 - Isotype
 - IgG
 - Vial size
 - 0.1 mg
 - Storage
 - Store at 2 - 8 °C for up to one month or (in aliquots) at -20 °C for longer. Avoid repeatedfreezing and thawing. Shelf life: one year from despatch.
 
Submitted references		MACC1, a newly identified key regulator of HGF-MET signaling, predicts colon cancer metastasis.
				
Colon cancer metastasis: MACC1 and Met as metastatic pacemakers.
				
MACC1 controls Met: what a difference an Sp1 site makes.
				
Overexpression of MACC1 leads to downstream activation of HGF/MET and potentiates metastasis and recurrence of colorectal cancer.
				
		
	
			Stein U, Walther W, Arlt F, Schwabe H, Smith J, Fichtner I, Birchmeier W, Schlag PM
Nature medicine 2009 Jan;15(1):59-67
		Nature medicine 2009 Jan;15(1):59-67
Colon cancer metastasis: MACC1 and Met as metastatic pacemakers.
			Arlt F, Stein U
The international journal of biochemistry & cell biology 2009 Dec;41(12):2356-9
		The international journal of biochemistry & cell biology 2009 Dec;41(12):2356-9
MACC1 controls Met: what a difference an Sp1 site makes.
			Stein U, Smith J, Walther W, Arlt F
Cell cycle (Georgetown, Tex.) 2009 Aug;8(15):2467-9
		Cell cycle (Georgetown, Tex.) 2009 Aug;8(15):2467-9
Overexpression of MACC1 leads to downstream activation of HGF/MET and potentiates metastasis and recurrence of colorectal cancer.
			Boardman LA
Genome medicine 2009 Apr 2;1(4):36
		Genome medicine 2009 Apr 2;1(4):36
				No comments: Submit comment	
	
			
							
					Supportive validation
					
									
				
				- Submitted by
 - antibodies-online (provider)
 - Main image
 
- Experimental details
 - Western blot analysis of MACC1 in mouse liver tissue lysate with AP30528PU-N at (A) 1 and (B) 2 ?g/ml.
 
							
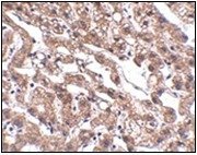
					Supportive validation
					
									
				
		- Submitted by
 - antibodies-online (provider)
 - Main image
 
- Experimental details
 - Immunohistochemistry of MACC1 in human liver tissue with AP30528PU-N at 2.5 ?g/ml.