Antibody data
- Antibody Data
- Antigen structure
- References [1]
- Comments [0]
- Validations
- Western blot [2]
- Immunohistochemistry [4]
Submit
Validation data
Reference
Comment
Report error
- Product number
- NBP1-89176 - Provider product page

- Provider
- Novus Biologicals
- Proper citation
- Novus Cat#NBP1-89176, RRID:AB_11018590
- Product name
- Rabbit Polyclonal ZCCHC7 Antibody
- Antibody type
- Polyclonal
- Description
- Immunogen affinity purified. Specificity of human ZCCHC7 antibody verified on a Protein Array containing target protein plus 383 other non-specific proteins.
- Reactivity
- Human
- Host
- Rabbit
- Isotype
- IgG
- Vial size
- 0.1 ml
- Storage
- Store at 4C short term. Aliquot and store at -20C long term. Avoid freeze-thaw cycles.
Submitted references Air1 zinc knuckles 4 and 5 and a conserved IWRXY motif are critical for the function and integrity of the Trf4/5-Air1/2-Mtr4 polyadenylation (TRAMP) RNA quality control complex.
Fasken MB, Leung SW, Banerjee A, Kodani MO, Chavez R, Bowman EA, Purohit MK, Rubinson ME, Rubinson EH, Corbett AH
The Journal of biological chemistry 2011 Oct 28;286(43):37429-45
The Journal of biological chemistry 2011 Oct 28;286(43):37429-45
No comments: Submit comment
Supportive validation
- Submitted by
- Novus Biologicals (provider)
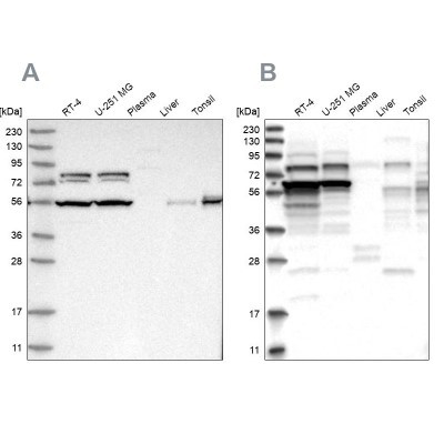
- Main image

- Experimental details
- Western Blot: ZCCHC7 Antibody [NBP1-89176] - Analysis using Anti-ZCCHC7 antibody NBP1-89176 (A) shows similar pattern to independent antibody NBP1-89175 (B).
- Submitted by
- Novus Biologicals (provider)
- Main image

- Experimental details
- Western Blot: ZCCHC7 Antibody [NBP1-89176] - Analysis in A-431 cells transfected with control siRNA, target specific siRNA probe #1 and #2,. Remaining relative intensity is presented. Loading control: Anti-GAPDH.
Supportive validation
- Submitted by
- Novus Biologicals (provider)
- Main image

- Experimental details
- Immunohistochemistry-Paraffin: ZCCHC7 Antibody [NBP1-89176] - Staining of human skeletal muscle shows weak cytoplasmic positivity in myocytes.
- Submitted by
- Novus Biologicals (provider)
- Main image

- Experimental details
- Immunohistochemistry-Paraffin: ZCCHC7 Antibody [NBP1-89176] - Staining of human kidney shows strong positivity in nucleoli in cells in tubules.
- Submitted by
- Novus Biologicals (provider)
- Main image

- Experimental details
- Immunohistochemistry-Paraffin: ZCCHC7 Antibody [NBP1-89176] - Staining of human lymph node shows strong cytoplasmic positivity in lymphoid cells.
- Submitted by
- Novus Biologicals (provider)
- Main image

- Experimental details
- Immunohistochemistry-Paraffin: ZCCHC7 Antibody [NBP1-89176] - Staining of human endometrium shows strong positivity in nucleoli in glandular cells.