NB600-404
antibody from Novus Biologicals
Targeting: ADGRE1
EMR1, TM7LN3
Antibody data
- Antibody Data
- Antigen structure
- References [50]
- Comments [0]
- Validations
- Immunohistochemistry [3]
- Flow cytometry [6]
Submit
Validation data
Reference
Comment
Report error
- Product number
- NB600-404 - Provider product page

- Provider
- Novus Biologicals
- Proper citation
- Novus Cat#NB600-404, RRID:AB_10003219
- Product name
- Rat Monoclonal F4/80 Antibody
- Antibody type
- Monoclonal
- Description
- Protein G purified. This recognizes mouse F4/80, a 160kD glycoprotein expressed by murine macrophages.
- Reactivity
- Human, Mouse
- Host
- Rat
- Isotype
- IgG
- Vial size
- 0.125 mg
- Concentration
- 1.0 mg/ml
- Storage
- Store at 4C short term. Aliquot and store at -20C long term. Avoid freeze-thaw cycles.
Submitted references Vitamin E does not prevent Western diet-induced NASH progression and increases metabolic flux dysregulation in mice.
Myeloid Cell-Derived TGFβ Signaling Regulates ECM Deposition in Mammary Carcinoma via Adenosine-Dependent Mechanisms.
A SNP of bacterial blc disturbs gut lysophospholipid homeostasis and induces inflammation through epithelial barrier disruption.
Cecal Tumorigenesis in Aryl Hydrocarbon Receptor-Deficient Mice Depends on Cecum-Specific Mitogen-Activated Protein Kinase Pathway Activation and Inflammation.
Astroglial TLR9 antagonism promotes chemotaxis and alternative activation of macrophages via modulation of astrocyte-derived signals: implications for spinal cord injury.
Metformin mediates induction of miR-708 to inhibit self-renewal and chemoresistance of breast cancer stem cells through targeting CD47.
Effect of H2 treatment in a mouse model of rheumatoid arthritis-associated interstitial lung disease.
Inhibition of EphB4-Ephrin-B2 Signaling Reprograms the Tumor Immune Microenvironment in Head and Neck Cancers.
CD169+ macrophages are critical for osteoblast maintenance and promote intramembranous and endochondral ossification during bone repair.
Molecular hydrogen attenuates gefitinib-induced exacerbation of naphthalene-evoked acute lung injury through a reduction in oxidative stress and inflammation.
Circulating Peroxiredoxin-1 is a novel damage-associated molecular pattern and aggravates acute liver injury via promoting inflammation.
Replication of Crohn's Disease Mucosal E. coli Isolates inside Macrophages Correlates with Resistance to Superoxide and Is Dependent on Macrophage NF-kappa B Activation.
Combined use of subclinical hydroxyurea and CHK1 inhibitor effectively controls melanoma and lung cancer progression, with reduced normal tissue toxicity compared to gemcitabine.
Administration of N-Acyl-Phosphatidylethanolamine Expressing Bacteria to Low Density Lipoprotein Receptor(-/-) Mice Improves Indices of Cardiometabolic Disease.
Cyclooxygenase-2 Inhibition Potentiates the Efficacy of Vascular Endothelial Growth Factor Blockade and Promotes an Immune Stimulatory Microenvironment in Preclinical Models of Pancreatic Cancer.
Gas6/MerTK signaling is negatively regulated by NF-κB and supports lung carcinogenesis.
IL-1 receptor antagonist therapy mitigates placental dysfunction and perinatal injury following Zika virus infection.
Accumulation of citrullinated glial fibrillary acidic protein in a mouse model of bile duct ligation-induced hepatic fibrosis.
LNK deficiency promotes acute aortic dissection and rupture.
Galectin-3 is essential for proper bone cell differentiation and activity, bone remodeling and biomechanical competence in mice.
The TLR4 Agonist Monophosphoryl Lipid A Drives Broad Resistance to Infection via Dynamic Reprogramming of Macrophage Metabolism.
Inhibition of Wnt/β-catenin signaling ameliorates osteoarthritis in a murine model of experimental osteoarthritis.
Kupffer cell-derived TNF-α promotes hepatocytes to produce CXCL1 and mobilize neutrophils in response to necrotic cells.
Melanocyte Stem Cell Activation and Translocation Initiate Cutaneous Melanoma in Response to UV Exposure.
A self-sustained loop of inflammation-driven inhibition of beige adipogenesis in obesity.
Inflammation is independent of steatosis in a murine model of steatohepatitis.
Multivalent bi-specific nanobioconjugate engager for targeted cancer immunotherapy.
Pre-treatment with Lactobacillus plantarum prevents severe pathogenesis in mice infected with Leptospira interrogans and may be associated with recruitment of myeloid cells.
Enhanced Muscular Dystrophy from Loss of Dysferlin Is Accompanied by Impaired Annexin A6 Translocation after Sarcolemmal Disruption.
Mitochondrial catalase suppresses naturally occurring lung cancer in old mice.
Virus-Induced Type I Interferon Deteriorates Control of Systemic Pseudomonas Aeruginosa Infection.
HIF-1 regulates CD47 expression in breast cancer cells to promote evasion of phagocytosis and maintenance of cancer stem cells.
Lymphocyte adaptor protein LNK deficiency exacerbates hypertension and end-organ inflammation.
Dexamethasone palmitate ameliorates macrophages-rich graft-versus-host disease by inhibiting macrophage functions.
Aldehyde dehydrogenase 2 deficiency ameliorates alcoholic fatty liver but worsens liver inflammation and fibrosis in mice.
The complement anaphylatoxin C5a receptor contributes to obese adipose tissue inflammation and insulin resistance.
Analysis of macrophage phenotype in rejected corneal allografts.
Essential role of gastric gland mucin in preventing gastric cancer in mice.
Progression of chronic liver inflammation and fibrosis driven by activation of c-JUN signaling in Sirt6 mutant mice.
Dietary cholesterol-induced post-testicular infertility.
Cervical remodeling/ripening at term and preterm delivery: the same mechanism initiated by different mediators and different effector cells.
Suppression of indomethacin-induced apoptosis in the small intestine due to Bach1 deficiency.
The α₂β₁ integrin is a metastasis suppressor in mouse models and human cancer.
Simvastatin therapy prevents brain trauma-induced increases in beta-amyloid peptide levels.
Anti-angiogenesis effect of the novel anti-inflammatory and pro-resolving lipid mediators.
Chronic alcohol consumption accelerates liver injury in T cell-mediated hepatitis: alcohol disregulation of NF-kappaB and STAT3 signaling pathways.
Antigen markers of macrophage differentiation in murine tissues.
Quantitative analysis of total macrophage content in adult mouse tissues. Immunochemical studies with monoclonal antibody F4/80.
The mononuclear phagocyte system of the mouse defined by immunohistochemical localisation of antigen F4/80: macrophages associated with epithelia.
F4/80, a monoclonal antibody directed specifically against the mouse macrophage.
Hasenour CM, Kennedy AJ, Bednarski T, Trenary IA, Eudy BJ, da Silva RP, Boyd KL, Young JD
Journal of lipid research 2020 May;61(5):707-721
Journal of lipid research 2020 May;61(5):707-721
Myeloid Cell-Derived TGFβ Signaling Regulates ECM Deposition in Mammary Carcinoma via Adenosine-Dependent Mechanisms.
Vasiukov G, Novitskaya T, Zijlstra A, Owens P, Ye F, Zhao Z, Moses HL, Blackwell T, Feoktistov I, Novitskiy SV
Cancer research 2020 Jun 15;80(12):2628-2638
Cancer research 2020 Jun 15;80(12):2628-2638
A SNP of bacterial blc disturbs gut lysophospholipid homeostasis and induces inflammation through epithelial barrier disruption.
Zou D, Pei J, Lan J, Sang H, Chen H, Yuan H, Wu D, Zhang Y, Wang Y, Wang D, Zou Y, Chen D, Ren J, Gao X, Lin Z
EBioMedicine 2020 Feb;52:102652
EBioMedicine 2020 Feb;52:102652
Cecal Tumorigenesis in Aryl Hydrocarbon Receptor-Deficient Mice Depends on Cecum-Specific Mitogen-Activated Protein Kinase Pathway Activation and Inflammation.
Matoba H, Takamoto M, Fujii C, Kawakubo M, Kasuga E, Matsumura T, Natori T, Misawa K, Taniguchi S, Nakayama J
The American journal of pathology 2020 Feb;190(2):453-468
The American journal of pathology 2020 Feb;190(2):453-468
Astroglial TLR9 antagonism promotes chemotaxis and alternative activation of macrophages via modulation of astrocyte-derived signals: implications for spinal cord injury.
Li L, Ni L, Heary RF, Elkabes S
Journal of neuroinflammation 2020 Feb 25;17(1):73
Journal of neuroinflammation 2020 Feb 25;17(1):73
Metformin mediates induction of miR-708 to inhibit self-renewal and chemoresistance of breast cancer stem cells through targeting CD47.
Tan W, Tang H, Jiang X, Ye F, Huang L, Shi D, Li L, Huang X, Li L, Xie X, Xie X
Journal of cellular and molecular medicine 2019 Sep;23(9):5994-6004
Journal of cellular and molecular medicine 2019 Sep;23(9):5994-6004
Effect of H2 treatment in a mouse model of rheumatoid arthritis-associated interstitial lung disease.
Terasaki Y, Terasaki M, Kanazawa S, Kokuho N, Urushiyama H, Kajimoto Y, Kunugi S, Maruyama M, Akimoto T, Miura Y, Igarashi T, Ohsawa I, Shimizu A
Journal of cellular and molecular medicine 2019 Oct;23(10):7043-7053
Journal of cellular and molecular medicine 2019 Oct;23(10):7043-7053
Inhibition of EphB4-Ephrin-B2 Signaling Reprograms the Tumor Immune Microenvironment in Head and Neck Cancers.
Bhatia S, Oweida A, Lennon S, Darragh LB, Milner D, Phan AV, Mueller AC, Van Court B, Raben D, Serkova NJ, Wang XJ, Jimeno A, Clambey ET, Pasquale EB, Karam SD
Cancer research 2019 May 15;79(10):2722-2735
Cancer research 2019 May 15;79(10):2722-2735
CD169+ macrophages are critical for osteoblast maintenance and promote intramembranous and endochondral ossification during bone repair.
Batoon L, Millard SM, Wullschleger ME, Preda C, Wu AC, Kaur S, Tseng HW, Hume DA, Levesque JP, Raggatt LJ, Pettit AR
Biomaterials 2019 Mar;196:51-66
Biomaterials 2019 Mar;196:51-66
Molecular hydrogen attenuates gefitinib-induced exacerbation of naphthalene-evoked acute lung injury through a reduction in oxidative stress and inflammation.
Terasaki Y, Suzuki T, Tonaki K, Terasaki M, Kuwahara N, Ohsiro J, Iketani M, Takahashi M, Hamanoue M, Kajimoto Y, Hattori S, Kawaguchi H, Shimizu A, Ohsawa I
Laboratory investigation; a journal of technical methods and pathology 2019 Jun;99(6):793-806
Laboratory investigation; a journal of technical methods and pathology 2019 Jun;99(6):793-806
Circulating Peroxiredoxin-1 is a novel damage-associated molecular pattern and aggravates acute liver injury via promoting inflammation.
He Y, Li S, Tang D, Peng Y, Meng J, Peng S, Deng Z, Qiu S, Liao X, Chen H, Tu S, Tao L, Peng Z, Yang H
Free radical biology & medicine 2019 Jun;137:24-36
Free radical biology & medicine 2019 Jun;137:24-36
Replication of Crohn's Disease Mucosal E. coli Isolates inside Macrophages Correlates with Resistance to Superoxide and Is Dependent on Macrophage NF-kappa B Activation.
Tawfik A, Knight P, Duckworth CA, Pritchard DM, Rhodes JM, Campbell BJ
Pathogens (Basel, Switzerland) 2019 Jun 8;8(2)
Pathogens (Basel, Switzerland) 2019 Jun 8;8(2)
Combined use of subclinical hydroxyurea and CHK1 inhibitor effectively controls melanoma and lung cancer progression, with reduced normal tissue toxicity compared to gemcitabine.
Oo ZY, Proctor M, Stevenson AJ, Nazareth D, Fernando M, Daignault SM, Lanagan C, Walpole S, Bonazzi V, Škalamera D, Snell C, Haass NK, Larsen JE, Gabrielli B
Molecular oncology 2019 Jul;13(7):1503-1518
Molecular oncology 2019 Jul;13(7):1503-1518
Administration of N-Acyl-Phosphatidylethanolamine Expressing Bacteria to Low Density Lipoprotein Receptor(-/-) Mice Improves Indices of Cardiometabolic Disease.
May-Zhang LS, Chen Z, Dosoky NS, Yancey PG, Boyd KL, Hasty AH, Linton MF, Davies SS
Scientific reports 2019 Jan 23;9(1):420
Scientific reports 2019 Jan 23;9(1):420
Cyclooxygenase-2 Inhibition Potentiates the Efficacy of Vascular Endothelial Growth Factor Blockade and Promotes an Immune Stimulatory Microenvironment in Preclinical Models of Pancreatic Cancer.
Zhang Y, Kirane A, Huang H, Sorrelle NB, Burrows FJ, Dellinger MT, Brekken RA
Molecular cancer research : MCR 2019 Feb;17(2):348-355
Molecular cancer research : MCR 2019 Feb;17(2):348-355
Gas6/MerTK signaling is negatively regulated by NF-κB and supports lung carcinogenesis.
Novitskiy SV, Zaynagetdinov R, Vasiukov G, Gutor S, Han W, Serezani A, Matafonov A, Gleaves LA, Sherrill TP, Polosukhin VV, Blackwell TS
Oncotarget 2019 Dec 17;10(66):7031-7042
Oncotarget 2019 Dec 17;10(66):7031-7042
IL-1 receptor antagonist therapy mitigates placental dysfunction and perinatal injury following Zika virus infection.
Lei J, Vermillion MS, Jia B, Xie H, Xie L, McLane MW, Sheffield JS, Pekosz A, Brown A, Klein SL, Burd I
JCI insight 2019 Apr 4;4(7)
JCI insight 2019 Apr 4;4(7)
Accumulation of citrullinated glial fibrillary acidic protein in a mouse model of bile duct ligation-induced hepatic fibrosis.
Kim SE, Park JW, Kim MJ, Jang B, Jeon YC, Kim HJ, Ishigami A, Kim HS, Suk KT, Kim DJ, Park CK, Choi EK, Jang MK
PloS one 2018;13(8):e0201744
PloS one 2018;13(8):e0201744
LNK deficiency promotes acute aortic dissection and rupture.
Laroumanie F, Korneva A, Bersi MR, Alexander MR, Xiao L, Zhong X, Van Beusecum JP, Chen Y, Saleh MA, McMaster WG, Gavulic KA, Dale BL, Zhao S, Guo Y, Shyr Y, Perrien DS, Cox NJ, Curci JA, Humphrey JD, Madhur MS
JCI insight 2018 Oct 18;3(20)
JCI insight 2018 Oct 18;3(20)
Galectin-3 is essential for proper bone cell differentiation and activity, bone remodeling and biomechanical competence in mice.
Iacobini C, Blasetti Fantauzzi C, Bedini R, Pecci R, Bartolazzi A, Amadio B, Pesce C, Pugliese G, Menini S
Metabolism: clinical and experimental 2018 Jun;83:149-158
Metabolism: clinical and experimental 2018 Jun;83:149-158
The TLR4 Agonist Monophosphoryl Lipid A Drives Broad Resistance to Infection via Dynamic Reprogramming of Macrophage Metabolism.
Fensterheim BA, Young JD, Luan L, Kleinbard RR, Stothers CL, Patil NK, McAtee-Pereira AG, Guo Y, Trenary I, Hernandez A, Fults JB, Williams DL, Sherwood ER, Bohannon JK
Journal of immunology (Baltimore, Md. : 1950) 2018 Jun 1;200(11):3777-3789
Journal of immunology (Baltimore, Md. : 1950) 2018 Jun 1;200(11):3777-3789
Inhibition of Wnt/β-catenin signaling ameliorates osteoarthritis in a murine model of experimental osteoarthritis.
Lietman C, Wu B, Lechner S, Shinar A, Sehgal M, Rossomacha E, Datta P, Sharma A, Gandhi R, Kapoor M, Young PP
JCI insight 2018 Feb 8;3(3)
JCI insight 2018 Feb 8;3(3)
Kupffer cell-derived TNF-α promotes hepatocytes to produce CXCL1 and mobilize neutrophils in response to necrotic cells.
Su L, Li N, Tang H, Lou Z, Chong X, Zhang C, Su J, Dong X
Cell death & disease 2018 Feb 23;9(3):323
Cell death & disease 2018 Feb 23;9(3):323
Melanocyte Stem Cell Activation and Translocation Initiate Cutaneous Melanoma in Response to UV Exposure.
Moon H, Donahue LR, Choi E, Scumpia PO, Lowry WE, Grenier JK, Zhu J, White AC
Cell stem cell 2017 Nov 2;21(5):665-678.e6
Cell stem cell 2017 Nov 2;21(5):665-678.e6
A self-sustained loop of inflammation-driven inhibition of beige adipogenesis in obesity.
Chung KJ, Chatzigeorgiou A, Economopoulou M, Garcia-Martin R, Alexaki VI, Mitroulis I, Nati M, Gebler J, Ziemssen T, Goelz SE, Phieler J, Lim JH, Karalis KP, Papayannopoulou T, Blüher M, Hajishengallis G, Chavakis T
Nature immunology 2017 Jun;18(6):654-664
Nature immunology 2017 Jun;18(6):654-664
Inflammation is independent of steatosis in a murine model of steatohepatitis.
Wang W, Xu MJ, Cai Y, Zhou Z, Cao H, Mukhopadhyay P, Pacher P, Zheng S, Gonzalez FJ, Gao B
Hepatology (Baltimore, Md.) 2017 Jul;66(1):108-123
Hepatology (Baltimore, Md.) 2017 Jul;66(1):108-123
Multivalent bi-specific nanobioconjugate engager for targeted cancer immunotherapy.
Yuan H, Jiang W, von Roemeling CA, Qie Y, Liu X, Chen Y, Wang Y, Wharen RE, Yun K, Bu G, Knutson KL, Kim BYS
Nature nanotechnology 2017 Aug;12(8):763-769
Nature nanotechnology 2017 Aug;12(8):763-769
Pre-treatment with Lactobacillus plantarum prevents severe pathogenesis in mice infected with Leptospira interrogans and may be associated with recruitment of myeloid cells.
Potula HH, Richer L, Werts C, Gomes-Solecki M
PLoS neglected tropical diseases 2017 Aug;11(8):e0005870
PLoS neglected tropical diseases 2017 Aug;11(8):e0005870
Enhanced Muscular Dystrophy from Loss of Dysferlin Is Accompanied by Impaired Annexin A6 Translocation after Sarcolemmal Disruption.
Demonbreun AR, Allen MV, Warner JL, Barefield DY, Krishnan S, Swanson KE, Earley JU, McNally EM
The American journal of pathology 2016 Jun;186(6):1610-22
The American journal of pathology 2016 Jun;186(6):1610-22
Mitochondrial catalase suppresses naturally occurring lung cancer in old mice.
Ge X, Pettan-Brewer C, Morton J, Carter K, Fatemi S, Rabinovitch P, Ladiges WC
Pathobiology of aging & age related diseases 2015;5:28776
Pathobiology of aging & age related diseases 2015;5:28776
Virus-Induced Type I Interferon Deteriorates Control of Systemic Pseudomonas Aeruginosa Infection.
Merches K, Khairnar V, Knuschke T, Shaabani N, Honke N, Duhan V, Recher M, Navarini AA, Hardt C, Häussinger D, Tümmler B, Gulbins E, Futerman AH, Hoffmann D, Lang F, Lang PA, Westendorf AM, Lang KS
Cellular physiology and biochemistry : international journal of experimental cellular physiology, biochemistry, and pharmacology 2015;36(6):2379-92
Cellular physiology and biochemistry : international journal of experimental cellular physiology, biochemistry, and pharmacology 2015;36(6):2379-92
HIF-1 regulates CD47 expression in breast cancer cells to promote evasion of phagocytosis and maintenance of cancer stem cells.
Zhang H, Lu H, Xiang L, Bullen JW, Zhang C, Samanta D, Gilkes DM, He J, Semenza GL
Proceedings of the National Academy of Sciences of the United States of America 2015 Nov 10;112(45):E6215-23
Proceedings of the National Academy of Sciences of the United States of America 2015 Nov 10;112(45):E6215-23
Lymphocyte adaptor protein LNK deficiency exacerbates hypertension and end-organ inflammation.
Saleh MA, McMaster WG, Wu J, Norlander AE, Funt SA, Thabet SR, Kirabo A, Xiao L, Chen W, Itani HA, Michell D, Huan T, Zhang Y, Takaki S, Titze J, Levy D, Harrison DG, Madhur MS
The Journal of clinical investigation 2015 Mar 2;125(3):1189-202
The Journal of clinical investigation 2015 Mar 2;125(3):1189-202
Dexamethasone palmitate ameliorates macrophages-rich graft-versus-host disease by inhibiting macrophage functions.
Nishiwaki S, Nakayama T, Murata M, Nishida T, Terakura S, Saito S, Kato T, Mizuno H, Imahashi N, Seto A, Ozawa Y, Miyamura K, Ito M, Takeshita K, Kato H, Toyokuni S, Nagao K, Ueda R, Naoe T
PloS one 2014;9(5):e96252
PloS one 2014;9(5):e96252
Aldehyde dehydrogenase 2 deficiency ameliorates alcoholic fatty liver but worsens liver inflammation and fibrosis in mice.
Kwon HJ, Won YS, Park O, Chang B, Duryee MJ, Thiele GE, Matsumoto A, Singh S, Abdelmegeed MA, Song BJ, Kawamoto T, Vasiliou V, Thiele GM, Gao B
Hepatology (Baltimore, Md.) 2014 Jul;60(1):146-57
Hepatology (Baltimore, Md.) 2014 Jul;60(1):146-57
The complement anaphylatoxin C5a receptor contributes to obese adipose tissue inflammation and insulin resistance.
Phieler J, Chung KJ, Chatzigeorgiou A, Klotzsche-von Ameln A, Garcia-Martin R, Sprott D, Moisidou M, Tzanavari T, Ludwig B, Baraban E, Ehrhart-Bornstein M, Bornstein SR, Mziaut H, Solimena M, Karalis KP, Economopoulou M, Lambris JD, Chavakis T
Journal of immunology (Baltimore, Md. : 1950) 2013 Oct 15;191(8):4367-74
Journal of immunology (Baltimore, Md. : 1950) 2013 Oct 15;191(8):4367-74
Analysis of macrophage phenotype in rejected corneal allografts.
Oh JY, Lee HJ, Ko AY, Ko JH, Kim MK, Wee WR
Investigative ophthalmology & visual science 2013 Nov 21;54(12):7779-84
Investigative ophthalmology & visual science 2013 Nov 21;54(12):7779-84
Essential role of gastric gland mucin in preventing gastric cancer in mice.
Karasawa F, Shiota A, Goso Y, Kobayashi M, Sato Y, Masumoto J, Fujiwara M, Yokosawa S, Muraki T, Miyagawa S, Ueda M, Fukuda MN, Fukuda M, Ishihara K, Nakayama J
The Journal of clinical investigation 2012 Mar;122(3):923-34
The Journal of clinical investigation 2012 Mar;122(3):923-34
Progression of chronic liver inflammation and fibrosis driven by activation of c-JUN signaling in Sirt6 mutant mice.
Xiao C, Wang RH, Lahusen TJ, Park O, Bertola A, Maruyama T, Reynolds D, Chen Q, Xu X, Young HA, Chen WJ, Gao B, Deng CX
The Journal of biological chemistry 2012 Dec 7;287(50):41903-13
The Journal of biological chemistry 2012 Dec 7;287(50):41903-13
Dietary cholesterol-induced post-testicular infertility.
Ouvrier A, Alves G, Damon-Soubeyrand C, Marceau G, Cadet R, Janny L, Brugnon F, Kocer A, Pommier A, Lobaccaro JM, Drevet JR, Saez F
PloS one 2011;6(11):e26966
PloS one 2011;6(11):e26966
Cervical remodeling/ripening at term and preterm delivery: the same mechanism initiated by different mediators and different effector cells.
Gonzalez JM, Dong Z, Romero R, Girardi G
PloS one 2011;6(11):e26877
PloS one 2011;6(11):e26877
Suppression of indomethacin-induced apoptosis in the small intestine due to Bach1 deficiency.
Harusato A, Naito Y, Takagi T, Uchiyama K, Mizushima K, Hirai Y, Yamada S, Tuji T, Yoriki H, Horie R, Inoue K, Fukumoto K, Handa O, Ishikawa T, Kokura S, Minamiyama Y, Ichikawa H, Muto A, Igarashi K, Yoshikawa T
Free radical research 2011 Jun;45(6):717-27
Free radical research 2011 Jun;45(6):717-27
The α₂β₁ integrin is a metastasis suppressor in mouse models and human cancer.
Ramirez NE, Zhang Z, Madamanchi A, Boyd KL, O'Rear LD, Nashabi A, Li Z, Dupont WD, Zijlstra A, Zutter MM
The Journal of clinical investigation 2011 Jan;121(1):226-37
The Journal of clinical investigation 2011 Jan;121(1):226-37
Simvastatin therapy prevents brain trauma-induced increases in beta-amyloid peptide levels.
Abrahamson EE, Ikonomovic MD, Dixon CE, DeKosky ST
Annals of neurology 2009 Sep;66(3):407-14
Annals of neurology 2009 Sep;66(3):407-14
Anti-angiogenesis effect of the novel anti-inflammatory and pro-resolving lipid mediators.
Jin Y, Arita M, Zhang Q, Saban DR, Chauhan SK, Chiang N, Serhan CN, Dana R
Investigative ophthalmology & visual science 2009 Oct;50(10):4743-52
Investigative ophthalmology & visual science 2009 Oct;50(10):4743-52
Chronic alcohol consumption accelerates liver injury in T cell-mediated hepatitis: alcohol disregulation of NF-kappaB and STAT3 signaling pathways.
Jaruga B, Hong F, Kim WH, Sun R, Fan S, Gao B
American journal of physiology. Gastrointestinal and liver physiology 2004 Aug;287(2):G471-9
American journal of physiology. Gastrointestinal and liver physiology 2004 Aug;287(2):G471-9
Antigen markers of macrophage differentiation in murine tissues.
Gordon S, Lawson L, Rabinowitz S, Crocker PR, Morris L, Perry VH
Current topics in microbiology and immunology 1992;181:1-37
Current topics in microbiology and immunology 1992;181:1-37
Quantitative analysis of total macrophage content in adult mouse tissues. Immunochemical studies with monoclonal antibody F4/80.
Lee SH, Starkey PM, Gordon S
The Journal of experimental medicine 1985 Mar 1;161(3):475-89
The Journal of experimental medicine 1985 Mar 1;161(3):475-89
The mononuclear phagocyte system of the mouse defined by immunohistochemical localisation of antigen F4/80: macrophages associated with epithelia.
Hume DA, Perry VH, Gordon S
The Anatomical record 1984 Nov;210(3):503-12
The Anatomical record 1984 Nov;210(3):503-12
F4/80, a monoclonal antibody directed specifically against the mouse macrophage.
Austyn JM, Gordon S
European journal of immunology 1981 Oct;11(10):805-15
European journal of immunology 1981 Oct;11(10):805-15
No comments: Submit comment
Supportive validation
- Submitted by
- Novus Biologicals (provider)
- Main image

- Experimental details
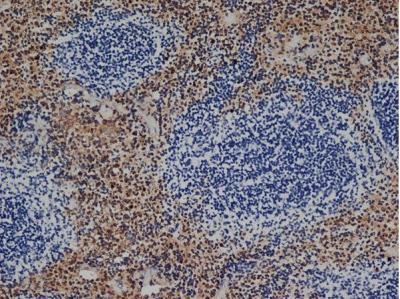
- Immunohistochemistry-Frozen: F4/80 Antibody (CI-A3-1) [NB600-404] - Mouse spleen stained with A: Rat anti Mouse. B: CI-A3-1 clone preincubated with 2 molar excess of human anti Idiotypic.
- Submitted by
- Novus Biologicals (provider)
- Main image

- Experimental details
- Immunohistochemistry-Frozen: F4/80 Antibody (CI-A3-1) [NB600-404] - Frozen mouse spleen with F4/80 anti-mouse antibody.
- Submitted by
- Novus Biologicals (provider)
- Main image

- Experimental details
- Immunohistochemistry-Paraffin: F4/80 Antibody (CI-A3-1) [NB600-404] - pNAPE-EcN reduces diet-induced hepatic inflammation. Representative images of liver sections immunostained for F4/80. Image collected and cropped by CiteAb from the following publication (http://www.nature.com/articles/s41598-018-37373-1), licensed under a CC-BY licence.
Supportive validation
- Submitted by
- Novus Biologicals (provider)
- Main image

- Experimental details
- Flow Cytometry: F4/80 Antibody (CI-A3-1) [NB600-404] - A surface stain was performed on RAW 246.7 cells with F4/80 antibody (CI-A3-1) NB600-404AF488 (blue) and a matched isotype control (orange). Cells were incubated in an antibody dilution of 10 ug/mL for 20 minutes at room temperature. Both antibodies were conjugated to Alexa Fluor 488.
- Submitted by
- Novus Biologicals (provider)
- Main image

- Experimental details
- Flow Cytometry: F4/80 Antibody (CI-A3-1) [NB600-404] - Staining of mouse peritoneal macrophages with F4/80 antibody.
- Submitted by
- Novus Biologicals (provider)
- Main image

- Experimental details
- Flow Cytometry: F4/80 Antibody (CI-A3-1) [NB600-404] - Staining of mouse peritoneal macrophages with F4/80 antibody.
- Submitted by
- Novus Biologicals (provider)
- Main image

- Experimental details
- Flow Cytometry: F4/80 Antibody (CI-A3-1) [NB600-404] - Staining of mouse peritoneal macrophages with clone CI-A3-1 F4/80 antibody.
- Submitted by
- Novus Biologicals (provider)
- Main image

- Experimental details
- Flow Cytometry: F4/80 Antibody (CI-A3-1) [NB600-404] - Staining of J774 cells with F4/80 antibody.
- Submitted by
- Novus Biologicals (provider)
- Main image

- Experimental details
- Flow Cytometry: F4/80 Antibody (CI-A3-1) [NB600-404]